电话:
+86 (0512) 65829739
传真:
+86 (010) 6788 5057
电子邮件:
orders@antibodies-online.cn

PI3K p85 alpha/gamma 抗体

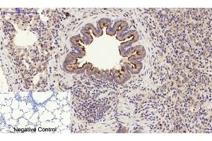
The 兔 多克隆 anti-PI3K p85 alpha/gamma antibody (ABIN7216546) specifically detects PI3K p85 alpha/gamma in WB, ELISA, IF 和 IHC (p). The antibody is reactive with 人, 小鼠, 大鼠, 猴 和 小鸡 samples.
产品编号 ABIN7216546
发货至: 中国
Contact our Customer Service for availability and price in your country. Contact Info

Our Local Distributor

中国
北京 101111
No. 88 KeChuang 6th Street
Beijing Economic Technological Development Area
Room 801-803
4A Biotech Co.,Ltd.
Tel +86 (0512) 65829739 传真 +86 (010) 6788 5057

Quick Overview for PI3K p85 alpha/gamma 抗体 (ABIN7216546)

抗原

PI3K p85 alpha/gamma (PI3K p85a/g) (Phosphoinositide 3 Kinase, p85 alpha/gamma (PI3K p85a/g))

适用

人, 小鼠, 大鼠, 猴, 小鸡

宿主

  • 21

克隆类型

  • 21
多克隆

标记

  • 6
  • 1
  • 1
  • 1
  • 1
  • 1
  • 1
  • 1
  • 1
  • 1
  • 1
  • 1
  • 1
  • 1
  • 1
  • 1
This PI3K p85 alpha/gamma antibody is un-conjugated

应用范围

  • 21
  • 14
  • 13
  • 13
  • 8
  • 5
  • 4
  • 3
  • 3
  • 2
Western Blotting (WB), ELISA, Immunofluorescence (IF), Immunohistochemistry (Paraffin-embedded Sections) (IHC (p))
  • 原理

    PI 3-kinase p85α/γ Polyclonal Antibody

    特异性

    PI 3-kinase p85α/γ Polyclonal Antibody detects endogenous levels of PI 3-kinase p85α/γ protein.

    纯化方法

    The antibody was affinity-purified from rabbit antiserum by affinity-chromatography using epitope-specific immunogen

    免疫原

    Synthesized peptide derived from human PI 3-kinase p85/p55 around the non-phosphorylation site of Y458/199

    亚型

    IgG
  • 应用备注

    Optimal working dilutions should be determined experimentally by the investigator. Suggested starting dilutions are as follows: WB (1:500-1:2000), IHC-P (1:100-1:300), IF (1:200-1:1000), ELISA (1:20000). Not yet tested in other applications.

    说明

    Primary Antibody

    限制

    仅限研究用
  • 状态

    Liquid

    浓度

    1 mg/mL

    缓冲液

    PBS containing 50 % Glycerol, 0.5 % BSA and 0.02 % Sodium Azide.

    储存液

    Sodium azide

    注意事项

    This product contains Sodium azide: a POISONOUS AND HAZARDOUS SUBSTANCE which should be handled by trained staff only.

    储存条件

    -20 °C

    储存方法

    Stable for one year at -20°C from date of shipment. For maximum recovery of product, centrifuge the original vial after thawing and prior to removing the cap. Aliquot to avoid repeated freezing and thawing.
  • 抗原

    PI3K p85 alpha/gamma (PI3K p85a/g) (Phosphoinositide 3 Kinase, p85 alpha/gamma (PI3K p85a/g))

    别名

    PI 3-kinase p85alpha/gamma

    背景

    Rabbit Anti-PI 3-kinase p85α/γ Polyclonal Antibody,PIK3R1, GRB1, Phosphatidylinositol 3-kinase regulatory subunit alpha, PI3-kinase regulatory subunit alpha, PI3K regulatory subunit alpha, PtdIns-3-kinase regulatory subunit alpha, Phosphatidylinositol 3-kinase 85 kDa regulatory subunit alph,Phosphatidylinositol 3-kinase phosphorylates the inositol ring of phosphatidylinositol at the 3-prime position. The enzyme comprises a 110 kD catalytic subunit and a regulatory subunit of either 85, 55, or 50 kD. PIK3R1 encodes the 85 kD regulatory subunit. Phosphatidylinositol 3-kinase plays an important role in the metabolic actions of insulin, and a mutation in PIK3R1 has been associated with insulin resistance. Alternative splicing of PIK3R1 results in four transcript variants encoding different isoforms.,Phosphatidylinositol 3-kinase regulatory subunit alpha

    分子量

    observerd band 54+83kDa

    基因ID

    5295, 8503
You are here: