电话:
+86 (0512) 65829739
传真:
+86 (010) 6788 5057
电子邮件:
orders@antibodies-online.cn

MUC13 抗体 (AA 390-470)

The 兔 多克隆 anti-MUC13 antibody (ABIN7215910) specifically detects MUC13 in WB, ELISA, IF 和 IHC (p). The antibody is reactive with 人 samples.
产品编号 ABIN7215910
发货至: 中国
Contact our Customer Service for availability and price in your country. Contact Info

Our Local Distributor

中国
北京 101111
No. 88 KeChuang 6th Street
Beijing Economic Technological Development Area
Room 801-803
4A Biotech Co.,Ltd.
Tel +86 (0512) 65829739 传真 +86 (010) 6788 5057

Quick Overview for MUC13 抗体 (AA 390-470) (ABIN7215910)

抗原

See all MUC13 抗体
MUC13 (Mucin 13, Cell Surface Associated (MUC13))

适用

  • 32
  • 25
  • 11
  • 4
  • 1
  • 1
  • 1
  • 1
  • 1
  • 1

宿主

  • 40
  • 4
  • 2
  • 1

克隆类型

  • 40
  • 7
多克隆

标记

  • 22
  • 2
  • 1
  • 1
  • 1
  • 1
  • 1
  • 1
  • 1
  • 1
  • 1
  • 1
  • 1
  • 1
  • 1
  • 1
  • 1
  • 1
  • 1
  • 1
  • 1
  • 1
  • 1
  • 1
  • 1
This MUC13 antibody is un-conjugated

应用范围

  • 34
  • 14
  • 13
  • 13
  • 11
  • 9
  • 5
  • 5
  • 4
  • 3
  • 2
  • 1
  • 1
Western Blotting (WB), ELISA, Immunofluorescence (IF), Immunohistochemistry (Paraffin-embedded Sections) (IHC (p))
  • 抗原表位

    • 15
    • 6
    • 2
    • 1
    • 1
    • 1
    • 1
    • 1
    • 1
    AA 390-470

    原理

    Mucin 13 Polyclonal Antibody

    特异性

    Mucin 13 Polyclonal Antibody detects endogenous levels of Mucin 13 protein.

    纯化方法

    The antibody was affinity-purified from rabbit antiserum by affinity-chromatography using epitope-specific immunogen

    免疫原

    Synthesized peptide derived from the C-terminal region of human Mucin 13 at AA range: 390-470

    亚型

    IgG
  • 应用备注

    Optimal working dilutions should be determined experimentally by the investigator. Suggested starting dilutions are as follows: WB (1:500-1:2000), IHC-P (1:100-1:300), IF (1:200-1:1000), ELISA (1:20000). Not yet tested in other applications.

    说明

    Primary Antibody

    限制

    仅限研究用
  • 状态

    Liquid

    浓度

    1 mg/mL

    缓冲液

    PBS containing 50 % Glycerol, 0.5 % BSA and 0.02 % Sodium Azide.

    储存液

    Sodium azide

    注意事项

    This product contains Sodium azide: a POISONOUS AND HAZARDOUS SUBSTANCE which should be handled by trained staff only.

    储存条件

    -20 °C

    储存方法

    Stable for one year at -20°C from date of shipment. For maximum recovery of product, centrifuge the original vial after thawing and prior to removing the cap. Aliquot to avoid repeated freezing and thawing.
  • 抗原

    MUC13 (Mucin 13, Cell Surface Associated (MUC13))

    别名

    Mucin 13

    背景

    Rabbit Anti-Mucin 13 Polyclonal Antibody,MUC13, DRCC1, RECC, Mucin-13, MUC-13, Down-regulated in colon cancer 1,Epithelial mucins, such as MUC13, are a family of secreted and cell surface glycoproteins expressed by ductal and glandular epithelial tissues.,Mucin-13

    分子量

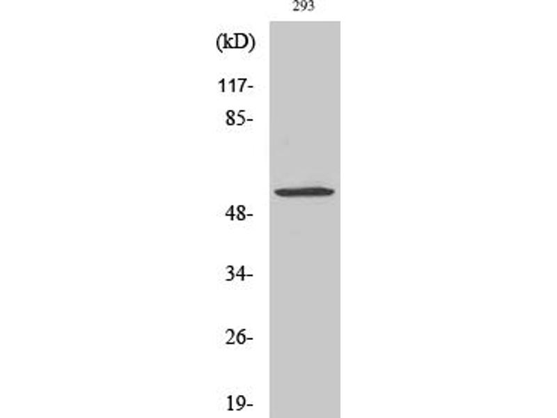
    observerd band 50kDa

    基因ID

    56667

    UniProt

    Q9H3R2
You are here: