电话:
+86 (0512) 65829739
传真:
+86 (010) 6788 5057
电子邮件:
orders@antibodies-online.cn

MEK1/2 抗体

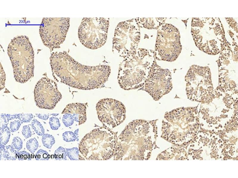
This 兔 多克隆 antibody specifically detects MEK1/2 in WB, ELISA, IHC (p) 和 IF. It exhibits reactivity toward 人, 小鼠, 大鼠 和 猴.
产品编号 ABIN7206521
发货至: 中国
Contact our Customer Service for availability and price in your country. Contact Info

Our Local Distributor

中国
北京 101111
No. 88 KeChuang 6th Street
Beijing Economic Technological Development Area
Room 801-803
4A Biotech Co.,Ltd.
Tel +86 (0512) 65829739 传真 +86 (010) 6788 5057

Quick Overview for MEK1/2 抗体 (ABIN7206521)

抗原

MEK1/2 (MAP2K1/2) (Mitogen-Activated Protein Kinase Kinase 1/2 (MAP2K1/2))

适用

  • 82
  • 78
  • 78
  • 10
  • 3
  • 2
  • 2
  • 2
  • 2
  • 1
  • 1
  • 1
  • 1
人, 小鼠, 大鼠, 猴

宿主

  • 82
  • 1

克隆类型

  • 64
  • 19
多克隆

标记

  • 19
  • 5
  • 3
  • 3
  • 3
  • 3
  • 3
  • 3
  • 3
  • 3
  • 3
  • 3
  • 3
  • 3
  • 3
  • 3
  • 3
  • 3
  • 3
  • 3
  • 3
  • 1
  • 1
This MEK1/2 antibody is un-conjugated

应用范围

  • 70
  • 27
  • 27
  • 19
  • 14
  • 11
  • 11
  • 10
  • 9
  • 6
  • 1
Western Blotting (WB), ELISA, Immunohistochemistry (Paraffin-embedded Sections) (IHC (p)), Immunofluorescence (IF)
  • 原理

    MEK-1/2 Polyclonal Antibody

    特异性

    MEK-1/2 Polyclonal Antibody detects endogenous levels of MEK-1/2 protein.

    纯化方法

    The antibody was affinity-purified from rabbit antiserum by affinity-chromatography using epitope-specific immunogen

    免疫原

    Synthesized peptide derived from human MEK-1/2 around the non-phosphorylation site of S218/222

    亚型

    IgG
  • 应用备注

    Optimal working dilutions should be determined experimentally by the investigator. Suggested starting dilutions are as follows: WB (1:500-1:2000), IF (1:50-1:200), IHC-P (1:50-1:300), ELISA (1:10000-1:20000). Not yet tested in other applications.

    限制

    仅限研究用
  • 状态

    Liquid

    浓度

    1 mg/mL

    缓冲液

    PBS containing 50 % Glycerol, 0.5 % BSA and 0.02 % Sodium Azide.

    储存液

    Sodium azide

    注意事项

    This product contains Sodium azide: a POISONOUS AND HAZARDOUS SUBSTANCE which should be handled by trained staff only.

    储存条件

    -20 °C

    储存方法

    Stable for one year at -20°C from date of shipment. For maximum recovery of product, centrifuge the original vial after thawing and prior to removing the cap. Aliquot to avoid repeated freezing and thawing.
  • 抗原

    MEK1/2 (MAP2K1/2) (Mitogen-Activated Protein Kinase Kinase 1/2 (MAP2K1/2))

    别名

    MEK-1/2

    背景

    Rabbit Anti-MEK-1/2 Polyclonal Antibody,MAP2K1, MEK1, PRKMK1, Dual specificity mitogen-activated protein kinase kinase 1, MAP kinase kinase 1, MAPKK 1, MKK1, ERK activator kinase 1, MAPK/ERK kinase 1, MEK 1, MAP2K2, MEK2, MKK2, PRKMK2, Dual specificity mitogen-activated protein k,Dual specificity mitogen-activated protein kinase kinase 2 encoded by MAP2K2 is a dual specificity protein kinase that belongs to the MAP kinase kinase family. Dual specificity mitogen-activated protein kinase kinase 2 is known to play a critical role in mitogen growth factor signal transduction. It phosphorylates and thus activates MAPK1/ERK2 and MAPK2/ERK3. The activation of this kinase itself is dependent on the Ser/Thr phosphorylation by MAP kinase kinase kinases. Mutations in this gene cause cardiofaciocutaneous syndrome (CFC syndrome), a disease characterized by heart defects, mental retardation, and distinctive facial features similar to those found in Noonan syndrome. The inhibition or degradation of this kinase is also found to be involved in the pathogenesis of Yersinia and anthrax. A pseudogene, which is located on chromosome 7, has been identified for this gene.,Dual specificity mitogen-activated protein kinase kinase 1

    基因ID

    5604, 5605
You are here: