电话:
+86 (0512) 65829739
传真:
+86 (010) 6788 5057
电子邮件:
orders@antibodies-online.cn

MICU1 抗体

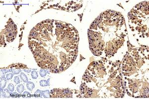
The 小鼠 单克隆 anti-MICU1 antibody (ABIN7206382) specifically detects MICU1 in WB, IF 和 IHC (p). The antibody is reactive with 人, 大鼠 和 小鼠 samples.
产品编号 ABIN7206382
发货至: 中国
Contact our Customer Service for availability and price in your country. Contact Info

Our Local Distributor

中国
北京 101111
No. 88 KeChuang 6th Street
Beijing Economic Technological Development Area
Room 801-803
4A Biotech Co.,Ltd.
Tel +86 (0512) 65829739 传真 +86 (010) 6788 5057

Quick Overview for MICU1 抗体 (ABIN7206382)

抗原

See all MICU1 抗体
MICU1 (Mitochondrial Calcium Uptake 1 (MICU1))

适用

  • 33
  • 9
  • 8
  • 2
  • 2
  • 2
  • 2
  • 2
  • 1
  • 1
  • 1
  • 1
人, 大鼠, 小鼠

宿主

  • 26
  • 7
  • 1
小鼠

克隆类型

  • 28
  • 6
单克隆

标记

  • 17
  • 3
  • 3
  • 3
  • 1
  • 1
  • 1
  • 1
  • 1
  • 1
  • 1
  • 1
This MICU1 antibody is un-conjugated

应用范围

  • 23
  • 14
  • 5
  • 3
  • 2
  • 1
  • 1
Western Blotting (WB), Immunofluorescence (IF), Immunohistochemistry (Paraffin-embedded Sections) (IHC (p))
  • 原理

    MICU1 Monoclonal Antibody

    特异性

    The antibody detects endogenous MICU1 protein.

    纯化方法

    The antibody was affinity-purified from mouse ascites by affinity-chromatography using epitope-specific immunogen

    免疫原

    Recombinant Protein

    亚型

    IgG1
  • 应用备注

    Optimal working dilutions should be determined experimentally by the investigator. Suggested starting dilutions are as follows: WB (1:1000-1:2000), IF (1:100-1:200), IHC-P (1:100-1:200).

    限制

    仅限研究用
  • 状态

    Liquid

    浓度

    1 mg/mL

    缓冲液

    PBS, pH 7.4, containing 0.02 % Sodium Azide as preservative and 50 % Glycerol.

    储存液

    Sodium azide

    注意事项

    This product contains Sodium azide: a POISONOUS AND HAZARDOUS SUBSTANCE which should be handled by trained staff only.

    储存条件

    -20 °C

    储存方法

    Stable for one year at -20°C from date of shipment. For maximum recovery of product, centrifuge the original vial after thawing and prior to removing the cap. Aliquot to avoid repeated freezing and thawing.
  • 抗原

    MICU1 (Mitochondrial Calcium Uptake 1 (MICU1))

    别名

    MICU1

    背景

    Mouse Anti-MICU1 Monoclonal Antibody,Most PKMT substrates are histone proteins and transcription factors, emphasizing the importance of lysine methylation in regulating chromatin structure and gene expression. Lys9 of histone H3 is mono- or di-methylated by G9A/GLP and tri-methylated by SETDB1 to activate transcription. JHDM3A-mediated demethylation of the same residue creates mono-methyl Lys9 and inhibits gene transcription . Tumor suppressor p53 is regulated by methylation of at least four sites. p53-mediated transcription is repressed following mono-methylation of p53 at Lys370 by SMYD2, di-methylation at the same residue further inhibits p53 by preventing association with 53BP1. Concomitant di-methylation at Lys382 inhibits p53 ubiquitination following DNA damage. Mono-methylation at Lys382 by SET8 suppresses p53 transcriptional activity, while SET7/9 mono-methylation at Lys372 inhibits SMYD2 methylation at Lys370 and stabilizes the p53 protein. Di-methylation at Lys373 by G9A/GLP inhibits p53-mediated apoptosis and correlates with tri-methylation of histone H3 Lys9 at the p21 promoter . Overexpression of PKMTs is associated with multiple forms of human cancer, which has generated tremendous interest in targeting protein lysine methyltransferases in drug discovery research.,Calcium uptake protein 1, mitochondrial

    基因ID

    10367

    UniProt

    Q9BPX6
You are here: