电话:
+86 (0512) 65829739
传真:
+86 (010) 6788 5057
电子邮件:
orders@antibodies-online.cn

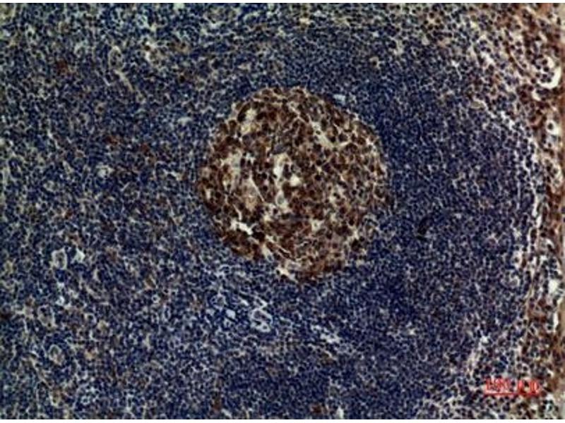
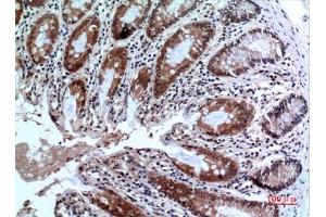
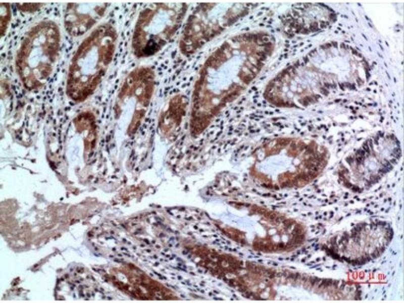
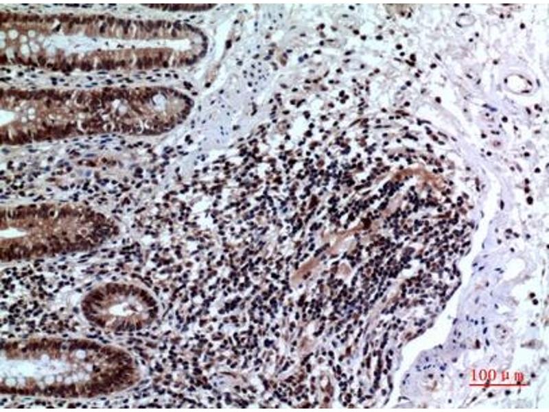
FOXP3 抗体 (C-Term)

The 兔 多克隆 anti-FOXP3 antibody is suitable to detect FOXP3 in samples from 人, 小鼠 和 大鼠. It has been validated for WB, ELISA 和 IHC (p).
产品编号 ABIN7204047
发货至: 中国
Contact our Customer Service for availability and price in your country. Contact Info

Our Local Distributor

中国
北京 101111
No. 88 KeChuang 6th Street
Beijing Economic Technological Development Area
Room 801-803
4A Biotech Co.,Ltd.
Tel +86 (0512) 65829739 传真 +86 (010) 6788 5057

Quick Overview for FOXP3 抗体 (C-Term) (ABIN7204047)

抗原

See all FOXP3 抗体
FOXP3 (Forkhead Box P3 (FOXP3))

适用

  • 180
  • 132
  • 48
  • 28
  • 7
  • 3
  • 2
  • 2
  • 2
  • 1
  • 1
  • 1
  • 1
人, 小鼠, 大鼠

宿主

  • 120
  • 91
  • 21
  • 2

克隆类型

  • 136
  • 98
多克隆

标记

  • 102
  • 23
  • 18
  • 17
  • 9
  • 4
  • 3
  • 2
  • 2
  • 2
  • 2
  • 2
  • 2
  • 2
  • 2
  • 2
  • 2
  • 2
  • 2
  • 2
  • 2
  • 2
  • 2
  • 2
  • 2
  • 2
  • 2
  • 2
  • 2
  • 2
  • 2
  • 2
  • 2
  • 1
  • 1
  • 1
  • 1
  • 1
  • 1
This FOXP3 antibody is un-conjugated

应用范围

  • 136
  • 102
  • 59
  • 52
  • 45
  • 27
  • 27
  • 22
  • 20
  • 16
  • 10
  • 8
  • 7
  • 6
  • 3
  • 3
  • 2
  • 2
  • 2
  • 1
  • 1
  • 1
  • 1
Western Blotting (WB), ELISA, Immunohistochemistry (Paraffin-embedded Sections) (IHC (p))
  • 抗原表位

    • 16
    • 15
    • 11
    • 11
    • 6
    • 6
    • 6
    • 5
    • 5
    • 5
    • 4
    • 3
    • 3
    • 3
    • 2
    • 2
    • 2
    • 2
    • 2
    • 1
    • 1
    • 1
    • 1
    • 1
    • 1
    • 1
    • 1
    • 1
    • 1
    • 1
    • 1
    • 1
    • 1
    • 1
    • 1
    • 1
    • 1
    C-Term

    原理

    FOXP3 Polyclonal Antibody

    特异性

    FOXP3 Polyclonal Antibody detects endogenous levels of FOXP3 protein.

    纯化方法

    The antibody was affinity-purified from rabbit antiserum by affinity-chromatography using epitope-specific immunogen

    免疫原

    Synthesized peptide derived from the C-terminal region of human FOXP3

    亚型

    IgG
  • 应用备注

    Optimal working dilutions should be determined experimentally by the investigator. Suggested starting dilutions are as follows: WB (1:500-1:2000), IHC-P (1:100-1:300), ELISA (1:20000). Not yet tested in other applications.

    限制

    仅限研究用
  • 状态

    Liquid

    浓度

    1 mg/mL

    缓冲液

    PBS containing 50 % Glycerol, 0.5 % BSA and 0.02 % Sodium Azide.

    储存液

    Sodium azide

    注意事项

    This product contains Sodium azide: a POISONOUS AND HAZARDOUS SUBSTANCE which should be handled by trained staff only.

    储存条件

    -20 °C

    储存方法

    Stable for one year at -20°C from date of shipment. For maximum recovery of product, centrifuge the original vial after thawing and prior to removing the cap. Aliquot to avoid repeated freezing and thawing.
  • 抗原

    FOXP3 (Forkhead Box P3 (FOXP3))

    别名

    FOXP3

    背景

    Rabbit Anti-FOXP3 Polyclonal Antibody,FOXP3, IPEX, JM2, Forkhead box protein P3, Scurfin,Forkhead box protein P3 encoded by FOXP3 is a member of the forkhead/winged-helix family of transcriptional regulators. Defects in this gene are the cause of immunodeficiency polyendocrinopathy, enteropathy, X-linked syndrome (IPEX), also known as X-linked autoimmunity-immunodeficiency syndrome. Alternatively spliced transcript variants encoding different isoforms have been identified.,Forkhead box protein P3

    基因ID

    50943

    UniProt

    Q9BZS1

    途径

    Chromatin Binding, Regulation of Leukocyte Mediated Immunity, Positive Regulation of Immune Effector Process, Production of Molecular Mediator of Immune Response, Activated T Cell Proliferation
You are here: