电话:
+86 (0512) 65829739
传真:
+86 (010) 6788 5057
电子邮件:
orders@antibodies-online.cn

EIF4A1 抗体

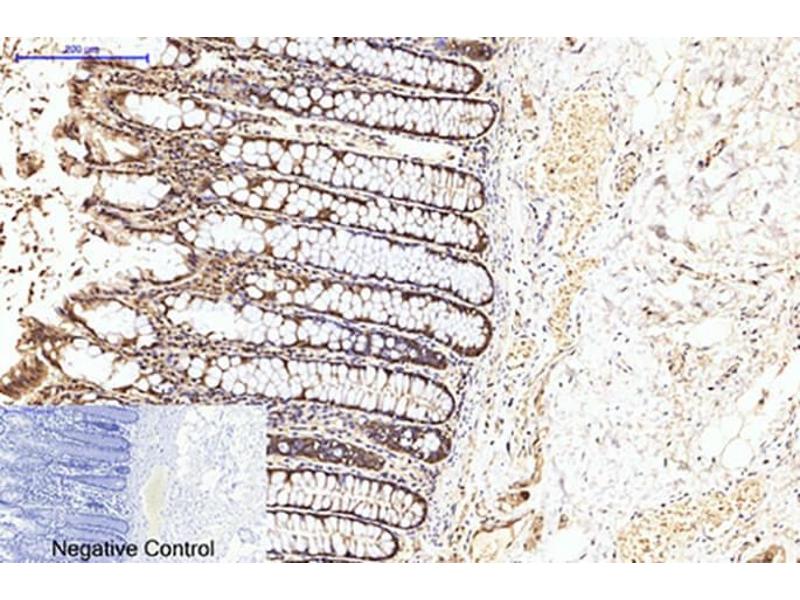
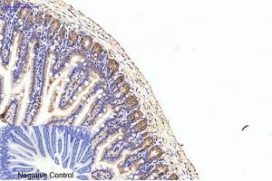
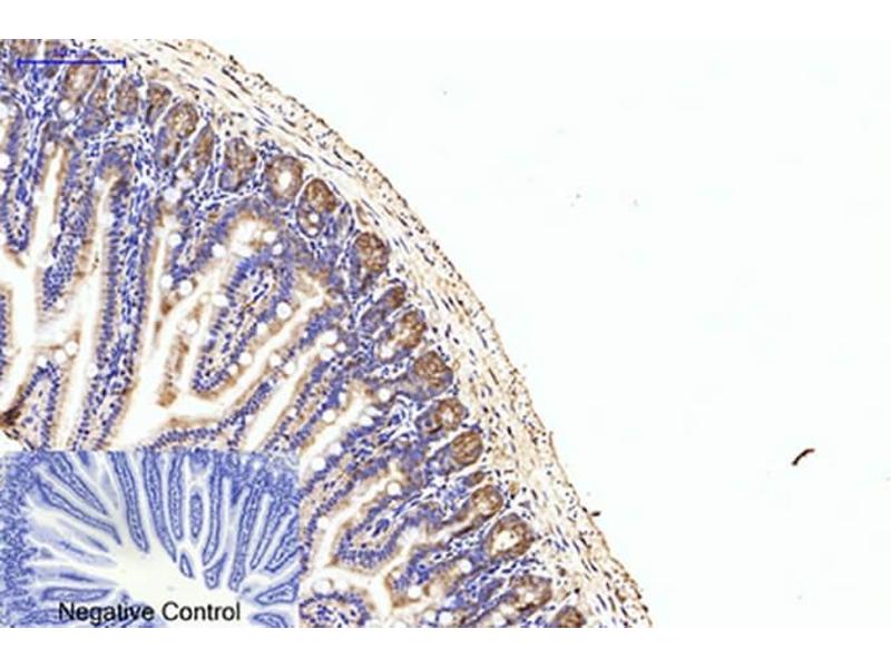
The 小鼠 单克隆 anti-EIF4A1 antibody is suitable to detect EIF4A1 in samples from 人, 大鼠 和 小鼠. It has been validated for WB, IF 和 IHC (p).
产品编号 ABIN7203768
发货至: 中国
Contact our Customer Service for availability and price in your country. Contact Info

Our Local Distributor

中国
北京 101111
No. 88 KeChuang 6th Street
Beijing Economic Technological Development Area
Room 801-803
4A Biotech Co.,Ltd.
Tel +86 (0512) 65829739 传真 +86 (010) 6788 5057

Quick Overview for EIF4A1 抗体 (ABIN7203768)

抗原

See all EIF4A1 抗体
EIF4A1 (Eukaryotic Translation Initiation Factor 4A1 (EIF4A1))

适用

  • 51
  • 35
  • 35
  • 4
  • 4
  • 4
  • 4
  • 4
  • 4
  • 3
  • 2
  • 1
  • 1
  • 1
人, 大鼠, 小鼠

宿主

  • 46
  • 5
小鼠

克隆类型

  • 30
  • 21
单克隆

标记

  • 33
  • 2
  • 2
  • 2
  • 2
  • 2
  • 2
  • 2
  • 2
  • 2
This EIF4A1 antibody is un-conjugated

应用范围

  • 51
  • 33
  • 28
  • 12
  • 8
  • 7
  • 7
  • 5
  • 1
Western Blotting (WB), Immunofluorescence (IF), Immunohistochemistry (Paraffin-embedded Sections) (IHC (p))
  • 原理

    eIF4A1 Monoclonal Antibody

    特异性

    The antibody detects endogenous eIF4A1 protein.

    纯化方法

    The antibody was affinity-purified from mouse ascites by affinity-chromatography using specific immunogen

    免疫原

    Synthetic Peptide

    亚型

    IgG1
  • 应用备注

    Optimal working dilutions should be determined experimentally by the investigator. Suggested starting dilutions are as follows: WB (1:1000-1:3000), IF (1:100-1:200), IHC-P (1:50-1:300).

    限制

    仅限研究用
  • 状态

    Liquid

    浓度

    1 mg/mL

    缓冲液

    PBS, pH 7.4, containing 0.02 % Sodium Azide as preservative and 50 % Glycerol.

    储存液

    Sodium azide

    注意事项

    This product contains Sodium azide: a POISONOUS AND HAZARDOUS SUBSTANCE which should be handled by trained staff only.

    储存条件

    -20 °C

    储存方法

    Stable for one year at -20°C from date of shipment. For maximum recovery of product, centrifuge the original vial after thawing and prior to removing the cap. Aliquot to avoid repeated freezing and thawing.
  • 抗原

    EIF4A1 (Eukaryotic Translation Initiation Factor 4A1 (EIF4A1))

    别名

    eIF4A1

    背景

    Mouse Anti-eIF4A1 Monoclonal Antibody,eIF4A1 is a 406 amino acid ATP-dependent RNA helicase belonging to the DEAD box helicase family and eukaryotic initiation factor-4A subfamily with a helicase ATP-binding domain and a helicase C-terminal domain. eIF4F eukaryotic translation initiation complex is formed by the association of eIF4A1 with eIF4E and eIF4E kinase (MNK1), eIF4B, eIF4G, PABPC1. It is closely related to eIF4A2. eIF4A1 is a eukaryotic translation initiation factor involved in protein translation/synthesis where it helps in unwinding the secondary structure of RNA in the 5'-UTR of mRNAs, cap recognition, and is necessary for efficient binding mRNA to the 40S small ribosomal subunit, as well as subsequent scanning for the initiator codon. Ubiquitous expression of the enzyme eIF4A1 is seen in most tissues.,Eukaryotic initiation factor 4A-I

    基因ID

    1973

    UniProt

    P60842
You are here: