EIF2A 抗体
Our Local Distributor
北京 101111
Quick Overview for EIF2A 抗体 (ABIN7214706)
抗原
See all EIF2A 抗体适用
宿主
克隆类型
标记
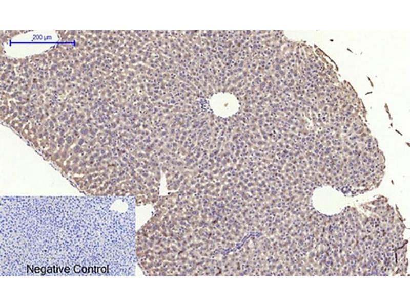
应用范围
-
-
原理
- eIF2α Polyclonal Antibody
-
特异性
- EIF2α Polyclonal Antibody detects endogenous levels of eIF2α protein.
-
纯化方法
- The antibody was affinity-purified from rabbit antiserum by affinity-chromatography using epitope-specific immunogen
-
免疫原
- Synthesized peptide derived from human eIF2alpha around the non-phosphorylation site of S51
-
亚型
- IgG
-
-
-
-
应用备注
- Optimal working dilutions should be determined experimentally by the investigator. Suggested starting dilutions are as follows: WB (1:500-1:2000), IHC-P (1:100-1:300), ELISA (1:10000). Not yet tested in other applications.
-
说明
-
Primary Antibody
-
限制
- 仅限研究用
-
-
-
状态
- Liquid
-
浓度
- 1 mg/mL
-
缓冲液
- PBS containing 50 % Glycerol, 0.5 % BSA and 0.02 % Sodium Azide.
-
储存液
- Sodium azide
-
注意事项
- This product contains Sodium azide: a POISONOUS AND HAZARDOUS SUBSTANCE which should be handled by trained staff only.
-
储存条件
- -20 °C
-
储存方法
- Stable for one year at -20°C from date of shipment. For maximum recovery of product, centrifuge the original vial after thawing and prior to removing the cap. Aliquot to avoid repeated freezing and thawing.
-
-
- EIF2A (Eukaryotic Translation Initiation Factor 2A, 65kDa (EIF2A))
-
别名
- eIF2alpha
-
背景
- Rabbit Anti-eIF2α Polyclonal Antibody,EIF2S1, EIF2A, Eukaryotic translation initiation factor 2 subunit 1, Eukaryotic translation initiation factor 2 subunit alpha, eIF-2-alpha, eIF-2A, eIF-2alpha,The translation initiation factor EIF2 catalyzes the first regulated step of protein synthesis initiation, promoting the binding of the initiator tRNA to 40S ribosomal subunits. Binding occurs as a ternary complex of methionyl-tRNA, EIF2, and GTP. EIF2 is composed of 3 nonidentical subunits, the 36-kD EIF2-alpha subunit (EIF2S1), the 38-kD EIF2-beta subunit (EIF2S2, MIM 603908), and the 52-kD EIF2-gamma subunit (EIF2S3, MIM 300161). The rate of formation of the ternary complex is modulated by the phosphorylation state of EIF2-alpha (Ernst et al., 1987 [PubMed 2948954]).,Eukaryotic translation initiation factor 2 subunit 1
-
分子量
- observerd band 38kDa
-
基因ID
- 1965
-
UniProt
- P05198
-
途径
- Ribonucleoprotein Complex Subunit Organization, ER-Nucleus Signaling, Hepatitis C, Methionine Biosynthetic Process, Ribosome Assembly
抗原
-