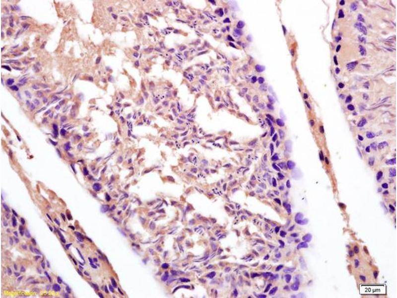
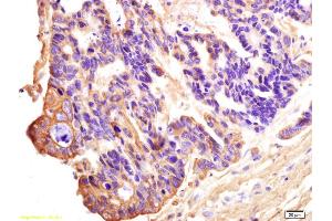
DDX43 抗体 (AA 481-580)
Our Local Distributor
北京 101111
Quick Overview for DDX43 抗体 (AA 481-580) (ABIN716021)
抗原
See all DDX43 抗体适用
宿主
克隆类型
标记
应用范围
-
-
抗原表位
- AA 481-580
-
交叉反应
- 人, 大鼠
-
预测反应
- Mouse,Dog,Horse
-
纯化方法
- Purified by Protein A.
-
免疫原
- KLH conjugated synthetic peptide derived from human DDX43
-
亚型
- IgG
-
-
-
-
应用备注
-
WB 1:300-5000
ELISA 1:500-1000
IHC-P 1:200-400
IHC-F 1:100-500
IF(IHC-P) 1:50-200
IF(IHC-F) 1:50-200
IF(ICC) 1:50-200 -
限制
- 仅限研究用
-
-
-
状态
- Liquid
-
浓度
- 1 μg/μL
-
缓冲液
- 0.01M TBS( pH 7.4) with 1 % BSA, 0.02 % Proclin300 and 50 % Glycerol.
-
储存液
- ProClin
-
注意事项
- This product contains ProClin: a POISONOUS AND HAZARDOUS SUBSTANCE, which should be handled by trained staff only.
-
储存条件
- 4 °C,-20 °C
-
储存方法
- Shipped at 4°C. Store at -20°C for one year. Avoid repeated freeze/thaw cycles.
-
有效期
- 12 months
-
-
- DDX43 (DEAD (Asp-Glu-Ala-Asp) Box Polypeptide 43 (DDX43))
-
别名
- Ct13
-
背景
-
Synonyms: CT13, HAGE, Probable ATP-dependent RNA helicase DDX43, Cancer/testis antigen 13, DEAD box protein 43, DEAD box protein HAGE, Helical antigen, DDX43
Background: The protein encoded by this gene is an ATP-dependent RNA helicase in the DEAD-box family and displays tumor-specific expression. [provided by RefSeq, Jul 2008].
-
基因ID
- 55510
-
UniProt
- Q9NXZ2
抗原
-