电话:
+86 (0512) 65829739
传真:
+86 (010) 6788 5057
电子邮件:
orders@antibodies-online.cn

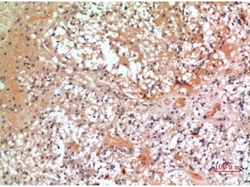
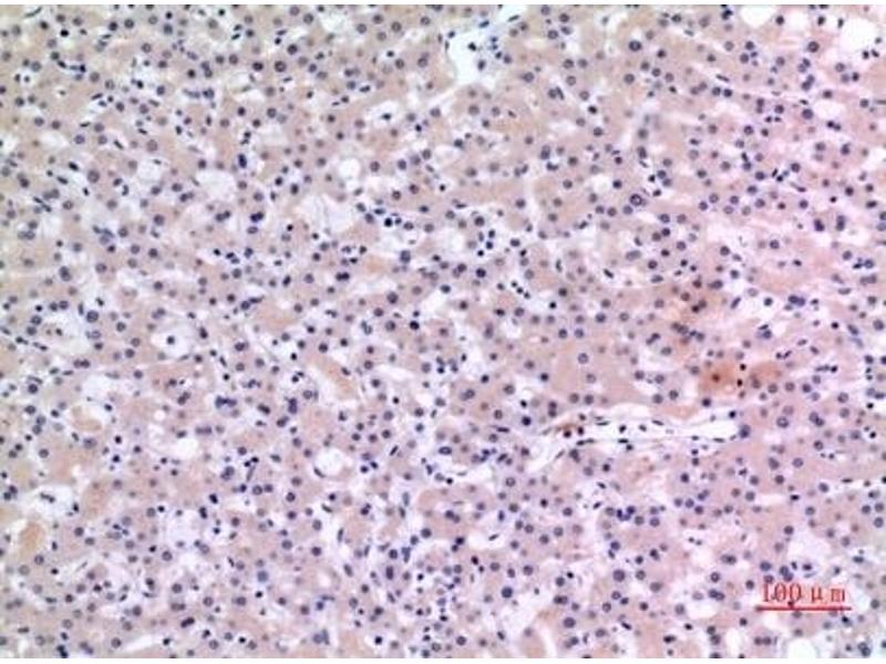
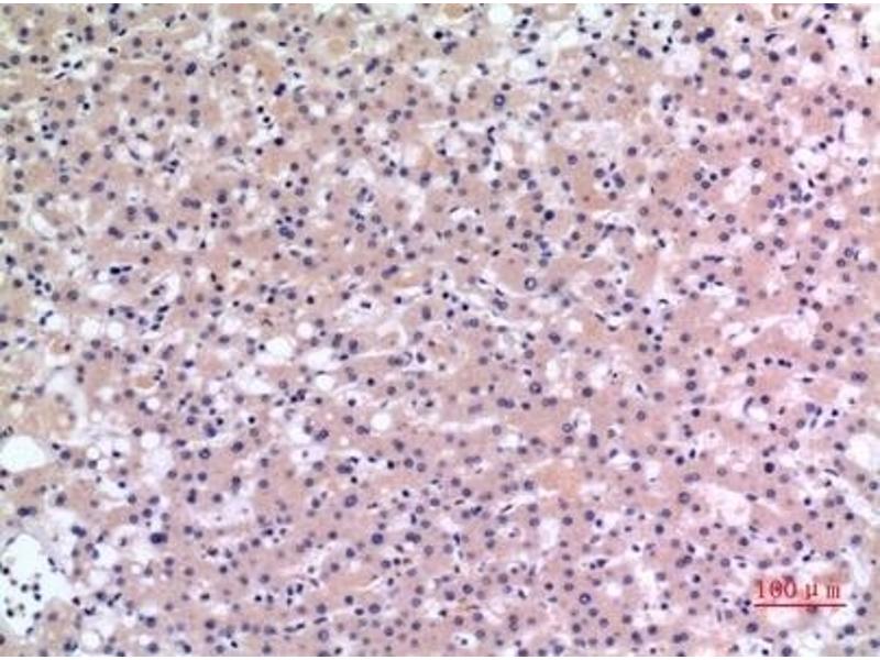
CMTM6 抗体 (C-Term)

This 兔 多克隆 antibody specifically detects CMTM6 in WB, ELISA 和 IHC (p). It exhibits reactivity toward 人.
产品编号 ABIN7218152
发货至: 中国
Contact our Customer Service for availability and price in your country. Contact Info

Our Local Distributor

中国
北京 101111
No. 88 KeChuang 6th Street
Beijing Economic Technological Development Area
Room 801-803
4A Biotech Co.,Ltd.
Tel +86 (0512) 65829739 传真 +86 (010) 6788 5057

Quick Overview for CMTM6 抗体 (C-Term) (ABIN7218152)

抗原

See all CMTM6 抗体
CMTM6 (CKLF-Like MARVEL Transmembrane Domain Containing 6 (CMTM6))

适用

  • 19
  • 2
  • 1
  • 1

宿主

  • 19
  • 1

克隆类型

  • 19
  • 1
多克隆

标记

  • 13
  • 1
  • 1
  • 1
  • 1
  • 1
  • 1
  • 1
This CMTM6 antibody is un-conjugated

应用范围

  • 11
  • 6
  • 3
  • 3
  • 2
  • 2
  • 1
  • 1
  • 1
  • 1
  • 1
  • 1
Western Blotting (WB), ELISA, Immunohistochemistry (Paraffin-embedded Sections) (IHC (p))
  • 抗原表位

    • 4
    • 2
    • 2
    • 1
    • 1
    C-Term

    原理

    CMTM6 Polyclonal Antibody

    特异性

    CMTM6 Polyclonal Antibody detects endogenous levels of CMTM6 protein.

    纯化方法

    The antibody was affinity-purified from rabbit antiserum by affinity-chromatography using epitope-specific immunogen

    免疫原

    Synthesized peptide derived from the C-terminal region of human CMTM6

    亚型

    IgG
  • 应用备注

    Optimal working dilutions should be determined experimentally by the investigator. Suggested starting dilutions are as follows: WB (1:500-1:2000), IHC-P (1:100-1:300), ELISA (1:20000). Not yet tested in other applications.

    说明

    Primary Antibody

    限制

    仅限研究用
  • 状态

    Liquid

    浓度

    1 mg/mL

    缓冲液

    PBS containing 50 % Glycerol, 0.5 % BSA and 0.02 % Sodium Azide.

    储存液

    Sodium azide

    注意事项

    This product contains Sodium azide: a POISONOUS AND HAZARDOUS SUBSTANCE which should be handled by trained staff only.

    储存条件

    -20 °C

    储存方法

    Stable for one year at -20°C from date of shipment. For maximum recovery of product, centrifuge the original vial after thawing and prior to removing the cap. Aliquot to avoid repeated freezing and thawing.
  • 抗原

    CMTM6 (CKLF-Like MARVEL Transmembrane Domain Containing 6 (CMTM6))

    别名

    CMTM6

    背景

    Rabbit Anti-CMTM6 Polyclonal Antibody,CMTM6, CKLFSF6, CKLF-like MARVEL transmembrane domain-containing protein 6, Chemokine-like factor superfamily member 6,CMTM6 belongs to the chemokine-like factor gene superfamily, a novel family that is similar to the chemokine and transmembrane 4 superfamilies. This gene is one of several chemokine-like factor genes located in a cluster on chromosome 3. This gene is widely expressed in many tissues, but the exact function of the encoded protein is unknown.,CKLF-like MARVEL transmembrane domain-containing protein 6

    分子量

    observerd band 20kDa

    基因ID

    54918

    UniProt

    Q9NX76
You are here: