电话:
+86 (0512) 65829739
传真:
+86 (010) 6788 5057
电子邮件:
orders@antibodies-online.cn

CD68 抗体

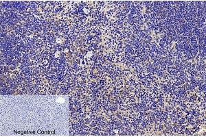
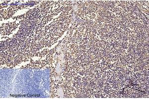
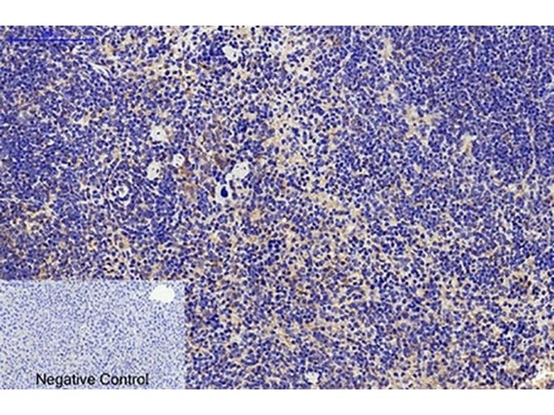
This 小鼠 单克隆 antibody specifically detects CD68 in IF 和 IHC (p). It exhibits reactivity toward 人, 小鼠 和 大鼠.
产品编号 ABIN7211932
发货至: 中国
Contact our Customer Service for availability and price in your country. Contact Info

Our Local Distributor

中国
北京 101111
No. 88 KeChuang 6th Street
Beijing Economic Technological Development Area
Room 801-803
4A Biotech Co.,Ltd.
Tel +86 (0512) 65829739 传真 +86 (010) 6788 5057

Quick Overview for CD68 抗体 (ABIN7211932)

抗原

See all CD68 抗体
CD68 (CD68 Molecule (CD68))

适用

  • 207
  • 72
  • 41
  • 35
  • 28
  • 16
  • 8
  • 5
  • 2
  • 2
  • 1
人, 小鼠, 大鼠

宿主

  • 139
  • 93
  • 20
  • 1
小鼠

克隆类型

  • 178
  • 71
  • 1
单克隆

标记

  • 107
  • 17
  • 17
  • 10
  • 8
  • 8
  • 8
  • 8
  • 8
  • 8
  • 8
  • 3
  • 3
  • 2
  • 2
  • 2
  • 2
  • 2
  • 2
  • 2
  • 2
  • 1
  • 1
  • 1
  • 1
  • 1
  • 1
  • 1
  • 1
  • 1
  • 1
  • 1
  • 1
  • 1
  • 1
  • 1
  • 1
  • 1
  • 1
  • 1
  • 1
  • 1
  • 1
  • 1
  • 1
This CD68 antibody is un-conjugated

应用范围

  • 104
  • 103
  • 99
  • 70
  • 51
  • 36
  • 34
  • 31
  • 23
  • 18
  • 11
  • 8
  • 8
  • 7
  • 4
  • 2
  • 2
  • 1
  • 1
  • 1
  • 1
  • 1
Immunofluorescence (IF), Immunohistochemistry (Paraffin-embedded Sections) (IHC (p))
  • 原理

    CD68 Monoclonal Antibody

    特异性

    The antibody detects endogenous CD68 proteins.

    纯化方法

    The antibody was affinity-purified from mouse ascites by affinity-chromatography using specific immunogen

    免疫原

    Synthetic Peptide

    亚型

    IgG1
  • 应用备注

    Optimal working dilutions should be determined experimentally by the investigator. Suggested starting dilutions are as follows: IF (1:100-1:200), IHC-P (1:200).

    说明

    Primary Antibody

    限制

    仅限研究用
  • 状态

    Liquid

    浓度

    1 mg/mL

    缓冲液

    PBS, pH 7.4, containing 0.02 % Sodium Azide as preservative and 50 % Glycerol.

    储存液

    Sodium azide

    注意事项

    This product contains Sodium azide: a POISONOUS AND HAZARDOUS SUBSTANCE which should be handled by trained staff only.

    储存条件

    -20 °C

    储存方法

    Stable for one year at -20°C from date of shipment. For maximum recovery of product, centrifuge the original vial after thawing and prior to removing the cap. Aliquot to avoid repeated freezing and thawing.
  • 抗原

    CD68 (CD68 Molecule (CD68))

    别名

    CD68

    背景

    Mouse Anti-CD68 Monoclonal Antibody,CD68, Macrosialin, Gp110, CD68,CD68 encodes a 110-kD transmembrane glycoprotein that is highly expressed by human monocytes and tissue macrophages. It is a member of the lysosomal/endosomal-associated membrane glycoprotein (LAMP) family. CD68 Molecule primarily localizes to lysosomes and endosomes with a smaller fraction circulating to the cell surface. It is a type I integral membrane protein with a heavily glycosylated extracellular domain and binds to tissue- and organ-specific lectins or selectins. CD68 Molecule is also a member of the scavenger receptor family. Scavenger receptors typically function to clear cellular debris, promote phagocytosis, and mediate the recruitment and activation of macrophages. Alternative splicing results in multiple transcripts encoding different isoforms.,Macrosialin

    分子量

    observerd band 37kDa

    基因ID

    968

    UniProt

    P34810
You are here: