电话:
+86 (0512) 65829739
传真:
+86 (010) 6788 5057
电子邮件:
orders@antibodies-online.cn

CDX2 抗体

This 小鼠 单克隆 antibody specifically detects CDX2 in WB, IF 和 IHC (p). It exhibits reactivity toward 人, 小鼠 和 大鼠.
产品编号 ABIN7202138
发货至: 中国
Contact our Customer Service for availability and price in your country. Contact Info

Our Local Distributor

中国
北京 101111
No. 88 KeChuang 6th Street
Beijing Economic Technological Development Area
Room 801-803
4A Biotech Co.,Ltd.
Tel +86 (0512) 65829739 传真 +86 (010) 6788 5057

Quick Overview for CDX2 抗体 (ABIN7202138)

抗原

See all CDX2 抗体
CDX2 (Caudal Type Homeobox 2 (CDX2))

适用

  • 183
  • 57
  • 52
  • 14
  • 4
  • 3
  • 3
  • 2
  • 2
  • 2
  • 2
  • 1
  • 1
  • 1
  • 1
人, 小鼠, 大鼠

宿主

  • 109
  • 73
  • 1
小鼠

克隆类型

  • 101
  • 81
  • 1
单克隆

标记

  • 91
  • 12
  • 7
  • 5
  • 5
  • 5
  • 5
  • 5
  • 5
  • 4
  • 4
  • 3
  • 3
  • 3
  • 3
  • 3
  • 3
  • 2
  • 2
  • 1
  • 1
  • 1
  • 1
  • 1
  • 1
  • 1
  • 1
  • 1
  • 1
  • 1
  • 1
  • 1
This CDX2 antibody is un-conjugated

应用范围

  • 78
  • 76
  • 67
  • 38
  • 38
  • 24
  • 23
  • 23
  • 18
  • 13
  • 12
  • 10
  • 9
  • 6
  • 2
  • 2
  • 2
  • 1
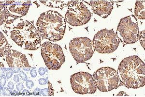
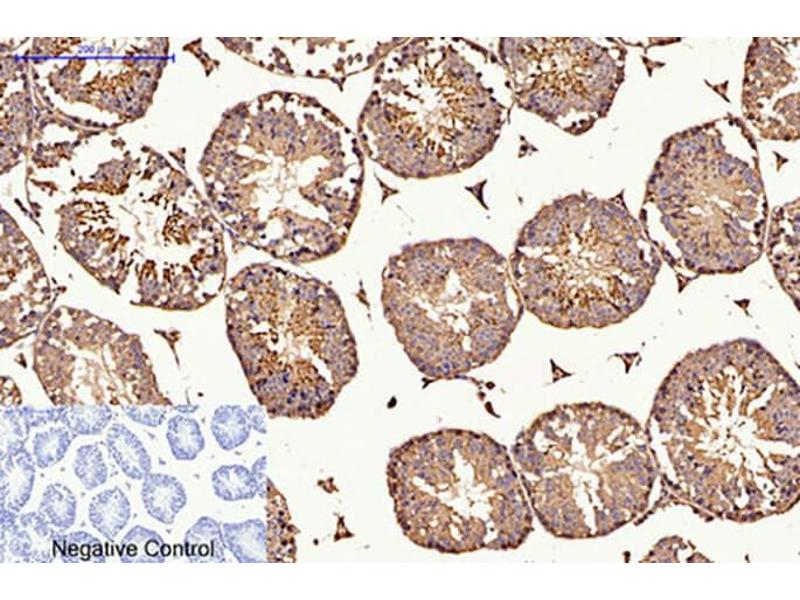
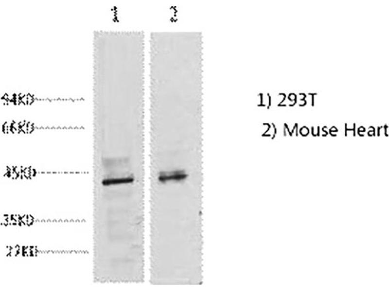
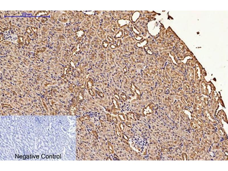
Western Blotting (WB), Immunofluorescence (IF), Immunohistochemistry (Paraffin-embedded Sections) (IHC (p))
  • 原理

    CDX2 Monoclonal Antibody

    特异性

    The antibody detects endogenous CDX2 proteins.

    纯化方法

    The antibody was affinity-purified from mouse ascites by affinity-chromatography using specific immunogen

    免疫原

    Synthetic Peptide

    亚型

    IgG1
  • 应用备注

    Optimal working dilutions should be determined experimentally by the investigator. Suggested starting dilutions are as follows: WB (1:1000), IF (1:100-1:200), IHC-P (1:200).

    限制

    仅限研究用
  • 状态

    Liquid

    浓度

    1 mg/mL

    缓冲液

    PBS, pH 7.4, containing 0.02 % Sodium Azide as preservative and 50 % Glycerol.

    储存液

    Sodium azide

    注意事项

    This product contains Sodium azide: a POISONOUS AND HAZARDOUS SUBSTANCE which should be handled by trained staff only.

    储存条件

    -20 °C

    储存方法

    Stable for one year at -20°C from date of shipment. For maximum recovery of product, centrifuge the original vial after thawing and prior to removing the cap. Aliquot to avoid repeated freezing and thawing.
  • 抗原

    CDX2 (Caudal Type Homeobox 2 (CDX2))

    别名

    CDX2

    背景

    Mouse Anti-CDX2 Monoclonal Antibody,CDX2, CDX3, Homeobox protein CDX-2, CDX-3, Caudal-type homeobox protein 2,CDX2 is a member of the caudal-related homeobox transcription factor gene family. caudal type homeobox 2 is a major regulator of intestine-specific genes involved in cell growth an differentiation. Caudal type homeobox 2 also plays a role in early embryonic development of the intestinal tract. Aberrant expression of CDX2 is associated with intestinal inflammation and tumorigenesis.,Homeobox protein CDX-2

    基因ID

    1045

    UniProt

    Q99626

    途径

    Peptide Hormone Metabolism, Stem Cell Maintenance
You are here: