电话:
+86 (0512) 65829739
传真:
+86 (010) 6788 5057
电子邮件:
orders@antibodies-online.cn

Cadherin 5 抗体 (Internal Region)

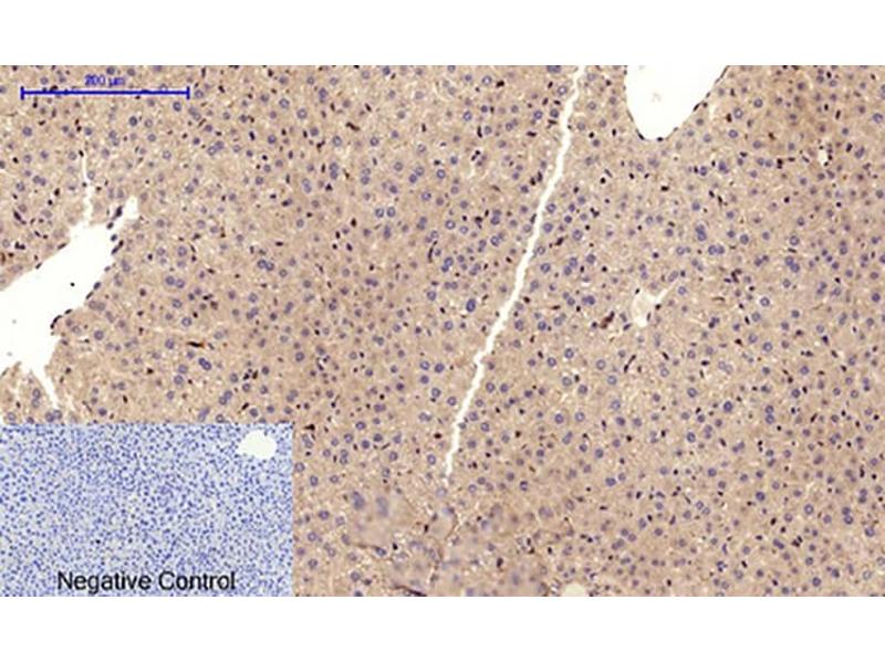
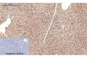
The 兔 多克隆 anti-Cadherin 5 antibody is suitable to detect Cadherin 5 in samples from 人, 小鼠 和 大鼠. It has been validated for WB, ELISA, IF 和 IHC (p).
产品编号 ABIN7201800
发货至: 中国
Contact our Customer Service for availability and price in your country. Contact Info

Our Local Distributor

中国
北京 101111
No. 88 KeChuang 6th Street
Beijing Economic Technological Development Area
Room 801-803
4A Biotech Co.,Ltd.
Tel +86 (0512) 65829739 传真 +86 (010) 6788 5057

Quick Overview for Cadherin 5 抗体 (Internal Region) (ABIN7201800)

抗原

See all Cadherin 5 (CDH5) 抗体
Cadherin 5 (CDH5)

适用

  • 99
  • 70
  • 44
  • 4
  • 4
  • 2
  • 2
  • 2
  • 1
  • 1
  • 1
人, 小鼠, 大鼠

宿主

  • 96
  • 29
  • 7
  • 1

克隆类型

  • 83
  • 50
多克隆

标记

  • 82
  • 9
  • 6
  • 3
  • 3
  • 2
  • 2
  • 2
  • 2
  • 2
  • 2
  • 2
  • 1
  • 1
  • 1
  • 1
  • 1
  • 1
  • 1
  • 1
  • 1
  • 1
  • 1
  • 1
  • 1
  • 1
  • 1
  • 1
This Cadherin 5 antibody is un-conjugated

应用范围

  • 103
  • 47
  • 44
  • 37
  • 34
  • 28
  • 24
  • 14
  • 13
  • 13
  • 11
  • 8
  • 4
  • 4
  • 3
  • 1
  • 1
  • 1
Western Blotting (WB), ELISA, Immunofluorescence (IF), Immunohistochemistry (Paraffin-embedded Sections) (IHC (p))
  • 抗原表位

    • 16
    • 14
    • 6
    • 4
    • 3
    • 3
    • 3
    • 3
    • 3
    • 3
    • 2
    • 2
    • 2
    • 2
    • 2
    • 2
    • 1
    • 1
    • 1
    • 1
    • 1
    • 1
    • 1
    • 1
    • 1
    • 1
    • 1
    • 1
    • 1
    • 1
    • 1
    • 1
    • 1
    • 1
    Internal Region

    原理

    VE-Cadherin Polyclonal Antibody

    特异性

    VE-Cadherin Polyclonal Antibody detects endogenous levels of VE-Cadherin protein.

    纯化方法

    The antibody was affinity-purified from rabbit antiserum by affinity-chromatography using epitope-specific immunogen

    免疫原

    Synthesized peptide derived from the Internal region of human VE-Cadherin

    亚型

    IgG
  • 应用备注

    Optimal working dilutions should be determined experimentally by the investigator. Suggested starting dilutions are as follows: WB (1:500-1:2000), IF (1:50-1:200), IHC-P (1:50-1:300), ELISA (1:10000-1:20000). Not yet tested in other applications.

    限制

    仅限研究用
  • 状态

    Liquid

    浓度

    1 mg/mL

    缓冲液

    PBS containing 50 % Glycerol, 0.5 % BSA and 0.02 % Sodium Azide.

    储存液

    Sodium azide

    注意事项

    This product contains Sodium azide: a POISONOUS AND HAZARDOUS SUBSTANCE which should be handled by trained staff only.

    储存条件

    -20 °C

    储存方法

    Stable for one year at -20°C from date of shipment. For maximum recovery of product, centrifuge the original vial after thawing and prior to removing the cap. Aliquot to avoid repeated freezing and thawing.
  • 抗原

    Cadherin 5 (CDH5)

    别名

    VE-Cadherin

    背景

    Rabbit Anti-VE-Cadherin Polyclonal Antibody,CDH5, Cadherin-5, 7B4 antigen, Vascular endothelial cadherin, VE-cadherin, CD144,CDH5 encodes a classical cadherin of the cadherin superfamily. The encoded preproprotein is proteolytically processed to generate the mature glycoprotein. This calcium-dependent cell-cell adhesion molecule is comprised of five extracellular cadherin repeats, a transmembrane region and a highly conserved cytoplasmic tail. Functioning as a classical cadherin by imparting to cells the ability to adhere in a homophilic manner, this protein plays a role in endothelial adherens junction assembly and maintenance. CDH5 is located in a gene cluster in a region on the long arm of chromosome 16 that is involved in loss of heterozygosity events in breast and prostate cancer.,Cadherin-5

    基因ID

    1003

    UniProt

    P33151

    途径

    Cell-Cell Junction Organization, Signaling Events mediated by VEGFR1 and VEGFR2
You are here: