电话:
+86 (0512) 65829739
传真:
+86 (010) 6788 5057
电子邮件:
orders@antibodies-online.cn

AP2 alpha/beta (AA 360-440) 抗体

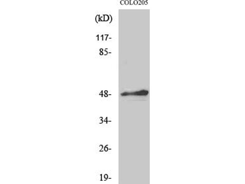
The 兔 多克隆 anti-AP2 alpha/beta antibody is suitable to detect AP2 alpha/beta in samples from 人, 小鼠 和 大鼠. It has been validated for WB, ELISA 和 IHC (p).
产品编号 ABIN7213610
发货至: 中国
Contact our Customer Service for availability and price in your country. Contact Info

Our Local Distributor

中国
北京 101111
No. 88 KeChuang 6th Street
Beijing Economic Technological Development Area
Room 801-803
4A Biotech Co.,Ltd.
Tel +86 (0512) 65829739 传真 +86 (010) 6788 5057

Quick Overview for AP2 alpha/beta (AA 360-440) 抗体 (ABIN7213610)

抗原

AP2 alpha/beta

适用

  • 6
  • 4
  • 4
  • 2
  • 2
  • 2
人, 小鼠, 大鼠

宿主

  • 6

克隆类型

  • 6
多克隆

标记

  • 6
非结合性

应用范围

  • 6
  • 5
  • 3
  • 3
  • 3
  • 3
  • 2
  • 1
  • 1
  • 1
  • 1
  • 1
Western Blotting (WB), ELISA, Immunohistochemistry (Paraffin-embedded Sections) (IHC (p))
  • 抗原表位

    • 4
    • 1
    • 1
    AA 360-440

    原理

    AP-2α/β Polyclonal Antibody

    特异性

    AP-2α/β Polyclonal Antibody detects endogenous levels of AP-2α/β protein.

    纯化方法

    The antibody was affinity-purified from rabbit antiserum by affinity-chromatography using epitope-specific immunogen

    免疫原

    Synthesized peptide derived from the C-terminal region of human AP-2alpha/beta at AA range: 360-440

    亚型

    IgG
  • 应用备注

    Optimal working dilutions should be determined experimentally by the investigator. Suggested starting dilutions are as follows: WB (1:500-1:2000), IHC-P (1:100-1:300), ELISA (1:10000). Not yet tested in other applications.

    说明

    Primary Antibody

    限制

    仅限研究用
  • 状态

    Liquid

    浓度

    1 mg/mL

    缓冲液

    PBS containing 50 % Glycerol, 0.5 % BSA and 0.02 % Sodium Azide.

    储存液

    Sodium azide

    注意事项

    This product contains Sodium azide: a POISONOUS AND HAZARDOUS SUBSTANCE which should be handled by trained staff only.

    储存条件

    -20 °C

    储存方法

    Stable for one year at -20°C from date of shipment. For maximum recovery of product, centrifuge the original vial after thawing and prior to removing the cap. Aliquot to avoid repeated freezing and thawing.
  • 抗原

    AP2 alpha/beta

    别名

    AP-2alpha/beta

    背景

    Rabbit Anti-AP-2α/β Polyclonal Antibody,TFAP2A, AP2TF, TFAP2, Transcription factor AP-2-alpha, AP2-alpha, AP-2 transcription factor, Activating enhancer-binding protein 2-alpha, Activator protein 2, AP-2, TFAP2B, Transcription factor AP-2-beta, AP2-beta, Activating enhancer-bindi,Transcription factor AP-2 alpha encoded by TFAP2A is a transcription factor that binds the consensus sequence 5'-GCCNNNGGC-3'. The encoded protein functions as either a homodimer or as a heterodimer with similar family members. This protein activates the transcription of some genes while inhibiting the transcription of others. Defects in this gene are a cause of branchiooculofacial syndrome (BOFS). Three transcript variants encoding different isoforms have been found for TFAP2A.,Transcription factor AP-2-alpha

    基因ID

    7020
You are here: