电话:
+86 (0512) 65829739
传真:
+86 (010) 6788 5057
电子邮件:
orders@antibodies-online.cn

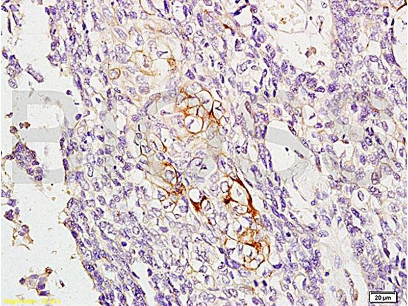
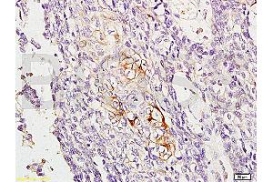
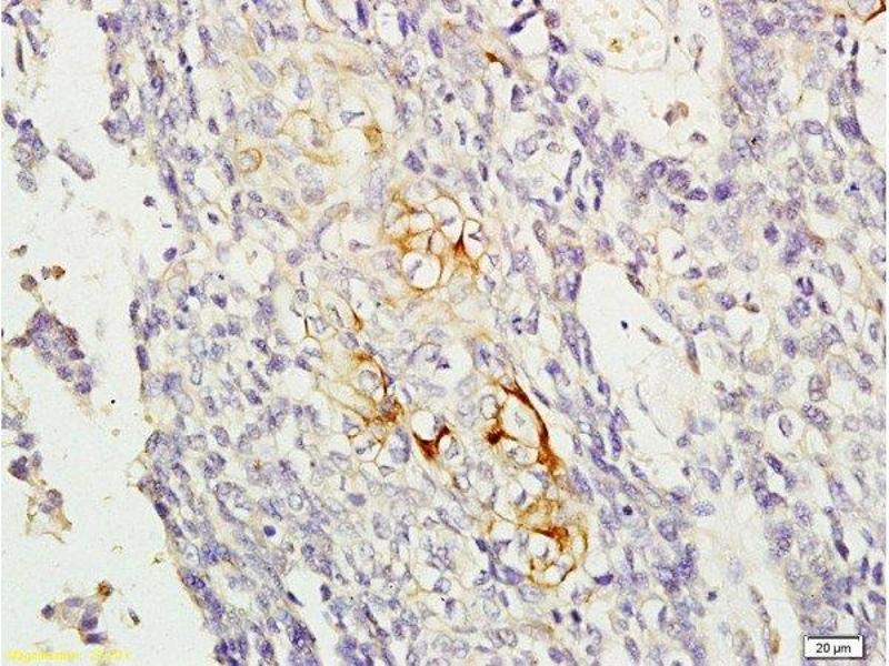
RAB8A 抗体 (AA 101-207)

The 兔 多克隆 anti-RAB8A antibody is suitable to detect RAB8A in samples from 人, 小鼠 和 大鼠. It has been validated for WB, IHC (p), IHC (fro), IF (cc) 和 IF (p).
产品编号 ABIN715316
发货至: 中国
Contact our Customer Service for availability and price in your country. Contact Info

Our Local Distributor

中国
北京 101111
No. 88 KeChuang 6th Street
Beijing Economic Technological Development Area
Room 801-803
4A Biotech Co.,Ltd.
Tel +86 (0512) 65829739 传真 +86 (010) 6788 5057

Quick Overview for RAB8A 抗体 (AA 101-207) (ABIN715316)

抗原

See all RAB8A 抗体
RAB8A (RAB8A, Member RAS Oncogene Family (RAB8A))

适用

  • 68
  • 33
  • 31
  • 5
  • 5
  • 4
  • 4
  • 4
  • 3
  • 3
  • 3
  • 2
  • 2
  • 2
  • 2
  • 1
  • 1
  • 1
  • 1
  • 1
  • 1
人, 小鼠, 大鼠

宿主

  • 47
  • 17
  • 3

克隆类型

  • 40
  • 28
多克隆

标记

  • 33
  • 4
  • 4
  • 4
  • 4
  • 4
  • 4
  • 4
  • 2
  • 2
  • 1
  • 1
  • 1
This RAB8A antibody is un-conjugated

应用范围

  • 50
  • 28
  • 27
  • 19
  • 10
  • 10
  • 6
  • 1
  • 1
Western Blotting (WB), Immunohistochemistry (Paraffin-embedded Sections) (IHC (p)), Immunohistochemistry (Frozen Sections) (IHC (fro)), Immunofluorescence (Cultured Cells) (IF (cc)), Immunofluorescence (Paraffin-embedded Sections) (IF (p))
  • 抗原表位

    • 6
    • 5
    • 2
    • 2
    • 2
    • 1
    • 1
    • 1
    AA 101-207

    交叉反应

    人, 小鼠, 大鼠

    预测反应

    Cow,Sheep,Chicken

    纯化方法

    Purified by Protein A.

    免疫原

    KLH conjugated synthetic peptide derived from human RAB8A

    亚型

    IgG
  • 应用备注

    WB 1:300-5000
    IHC-P 1:200-400
    IHC-F 1:100-500
    IF(IHC-P) 1:50-200
    IF(IHC-F) 1:50-200
    IF(ICC) 1:50-200

    限制

    仅限研究用
  • 状态

    Liquid

    浓度

    1 μg/μL

    缓冲液

    0.01M TBS( pH 7.4) with 1 % BSA, 0.02 % Proclin300 and 50 % Glycerol.

    储存液

    ProClin

    注意事项

    This product contains ProClin: a POISONOUS AND HAZARDOUS SUBSTANCE, which should be handled by trained staff only.

    储存条件

    4 °C,-20 °C

    储存方法

    Shipped at 4°C. Store at -20°C for one year. Avoid repeated freeze/thaw cycles.

    有效期

    12 months
  • 抗原

    RAB8A (RAB8A, Member RAS Oncogene Family (RAB8A))

    别名

    Rab8

    背景

    Synonyms: MEL, RAB8, Ras-related protein Rab-8A, Oncogene c-mel, RAB8A

    Background: The small GTPases Rab are key regulators of intracellular membrane trafficking, from the formation of transport vesicles to their fusion with membranes. Rabs cycle between an inactive GDP-bound form and an active GTP-bound form that is able to recruit to membranes different sets of downstream effectors directly responsible for vesicle formation, movement, tethering and fusion. That Rab is involved in polarized vesicular trafficking and neurotransmitter release. Together with RAB11A, RAB3IP, the exocyst complex, PARD3, PRKCI, ANXA2, CDC42 and DNMBP promotes transcytosis of PODXL to the apical membrane initiation sites (AMIS), apical surface formation and lumenogenesis. Together with MYO5B and RAB11A participates in epithelial cell polarization. Plays an important role in ciliogenesis. Together with MICALL2, may also regulate adherens junction assembly. May play a role in insulin-induced transport to the plasma membrane of the glucose transporter GLUT4 and therefore play a role in glucose homeostasis.

    基因ID

    4218

    UniProt

    P61006

    途径

    M Phase, Regulation of long-term Neuronal Synaptic Plasticity, SARS-CoV-2 Protein Interactome
You are here: