电话:
+86 (0512) 65829739
传真:
+86 (010) 6788 5057
电子邮件:
orders@antibodies-online.cn

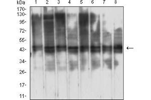
RBBP7 抗体 (AA 1-200)

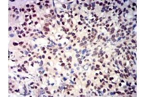
The 小鼠 单克隆 anti-RBBP7 antibody is suitable to detect RBBP7 in samples from 人, 小鼠 和 大鼠. It has been validated for WB, ELISA, IHC, FACS 和 ICC.
产品编号 ABIN7193402
发货至: 中国
Contact our Customer Service for availability and price in your country. Contact Info

Our Local Distributor

中国
北京 101111
No. 88 KeChuang 6th Street
Beijing Economic Technological Development Area
Room 801-803
4A Biotech Co.,Ltd.
Tel +86 (0512) 65829739 传真 +86 (010) 6788 5057

Quick Overview for RBBP7 抗体 (AA 1-200) (ABIN7193402)

抗原

See all RBBP7 抗体
RBBP7 (Retinoblastoma Binding Protein 7 (RBBP7))

适用

  • 55
  • 14
  • 11
  • 6
  • 5
  • 5
  • 4
  • 4
  • 4
  • 3
  • 2
  • 2
  • 1
  • 1
人, 小鼠, 大鼠

宿主

  • 49
  • 6
小鼠

克隆类型

  • 49
  • 6
单克隆

标记

  • 35
  • 4
  • 3
  • 3
  • 2
  • 2
  • 1
  • 1
  • 1
  • 1
  • 1
  • 1
This RBBP7 antibody is un-conjugated

应用范围

  • 41
  • 23
  • 9
  • 7
  • 6
  • 4
  • 2
  • 2
  • 2
  • 1
  • 1
  • 1
Western Blotting (WB), ELISA, Immunohistochemistry (IHC), Flow Cytometry (FACS), Immunocytochemistry (ICC)

克隆位点

2A10C2
  • 抗原表位

    • 8
    • 8
    • 6
    • 5
    • 4
    • 2
    • 2
    • 2
    • 2
    • 1
    • 1
    • 1
    • 1
    • 1
    • 1
    AA 1-200

    原理

    RBBP7 Antibody

    纯化方法

    Purified antibody

    免疫原

    Purified recombinant fragment of human RBBP7 (AA: 1-200) expressed in E. Coli.

    亚型

    IgG1
  • 应用备注

    ELISA: 1/10000

    FCM: 1/200 - 1/400

    ICC: 1/200 - 1/500

    限制

    仅限研究用
  • 状态

    Liquid

    缓冲液

    Purified antibody in PBS with 0.05 % sodium azide.

    储存液

    Sodium azide

    注意事项

    This product contains Sodium azide: a POISONOUS AND HAZARDOUS SUBSTANCE which should be handled by trained staff only.

    储存条件

    4 °C,-20 °C

    储存方法

    Store at 4°C short term. Aliquot and store at -20°C long term. Avoid freeze/thaw cycles.
  • 抗原

    RBBP7 (Retinoblastoma Binding Protein 7 (RBBP7))

    别名

    RBBP7

    背景

    This protein is a ubiquitously expressed nuclear protein and belongs to a highly conserved subfamily of WD-repeat proteins. It is found among several proteins that binds directly to retinoblastoma protein, which regulates cell proliferation. The encoded protein is found in many histone deacetylase complexes, including mSin3 co-repressor complex. It is also present in protein complexes involved in chromatin assembly. This protein can interact with BRCA1 tumor-suppressor gene and may have a role in the regulation of cell proliferation and differentiation. Two transcript variants encoding different isoforms have been found for this gene. [provided by RefSeq, Nov 2010]

    分子量

    47.8 kDa

    基因ID

    5931

    UniProt

    Q16576
You are here: