电话:
+86 (0512) 65829739
传真:
+86 (010) 6788 5057
电子邮件:
orders@antibodies-online.cn

MYST2 抗体 (AA 1-200)

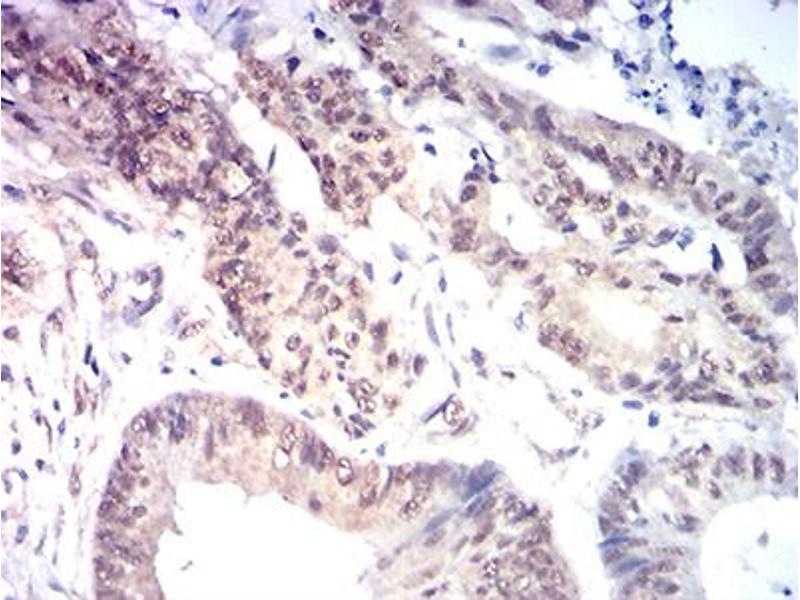
The 小鼠 单克隆 anti-MYST2 antibody (Clone 1D9H9) (ABIN7193385) specifically detects MYST2 in WB, ELISA 和 IHC. The antibody is reactive with 人, 小鼠 和 猴 samples.
产品编号 ABIN7193385
发货至: 中国
Contact our Customer Service for availability and price in your country. Contact Info

Our Local Distributor

中国
北京 101111
No. 88 KeChuang 6th Street
Beijing Economic Technological Development Area
Room 801-803
4A Biotech Co.,Ltd.
Tel +86 (0512) 65829739 传真 +86 (010) 6788 5057

Quick Overview for MYST2 抗体 (AA 1-200) (ABIN7193385)

抗原

See all MYST2 抗体
MYST2 (MYST Histone Acetyltransferase 2 (MYST2))

适用

  • 60
  • 43
  • 41
  • 7
  • 6
  • 4
  • 3
  • 2
  • 2
  • 2
  • 2
  • 2
  • 2
  • 1
人, 小鼠, 猴

宿主

  • 57
  • 3
小鼠

克隆类型

  • 38
  • 22
单克隆

标记

  • 33
  • 4
  • 3
  • 3
  • 3
  • 3
  • 3
  • 3
  • 2
  • 1
  • 1
  • 1
This MYST2 antibody is un-conjugated

应用范围

  • 40
  • 22
  • 21
  • 15
  • 13
  • 6
  • 4
  • 1
  • 1
  • 1
  • 1
  • 1
Western Blotting (WB), ELISA, Immunohistochemistry (IHC)

克隆位点

1D9H9
  • 抗原表位

    • 6
    • 4
    • 3
    • 3
    • 2
    • 1
    • 1
    • 1
    • 1
    • 1
    • 1
    • 1
    • 1
    • 1
    AA 1-200

    原理

    KAT7 Antibody

    纯化方法

    Purified antibody

    免疫原

    Purified recombinant fragment of human KAT7 (AA: 1-200) expressed in E. Coli.

    亚型

    IgG1
  • 应用备注

    ELISA: 1/10000

    限制

    仅限研究用
  • 状态

    Liquid

    缓冲液

    Purified antibody in PBS with 0.05 % sodium azide.

    储存液

    Sodium azide

    注意事项

    This product contains Sodium azide: a POISONOUS AND HAZARDOUS SUBSTANCE which should be handled by trained staff only.

    储存条件

    4 °C,-20 °C

    储存方法

    Store at 4°C short term. Aliquot and store at -20°C long term. Avoid freeze/thaw cycles.
  • 抗原

    MYST2 (MYST Histone Acetyltransferase 2 (MYST2))

    别名

    KAT7

    背景

    The protein encoded by this gene is part of the multimeric HBO1 complex, which possesses histone H4-specific acetyltransferase activity. This activity is required for functional replication origins and is involved in transcriptional activation of some genes. In both cases, the acetylation of histone H4 helps unfold chromatin so that the DNA can be accessed and replicated or transcribed. [provided by RefSeq, Oct 2016]

    分子量

    70.6 kDa

    基因ID

    11143

    UniProt

    O95251
You are here: