电话:
+86 (0512) 65829739
传真:
+86 (010) 6788 5057
电子邮件:
orders@antibodies-online.cn

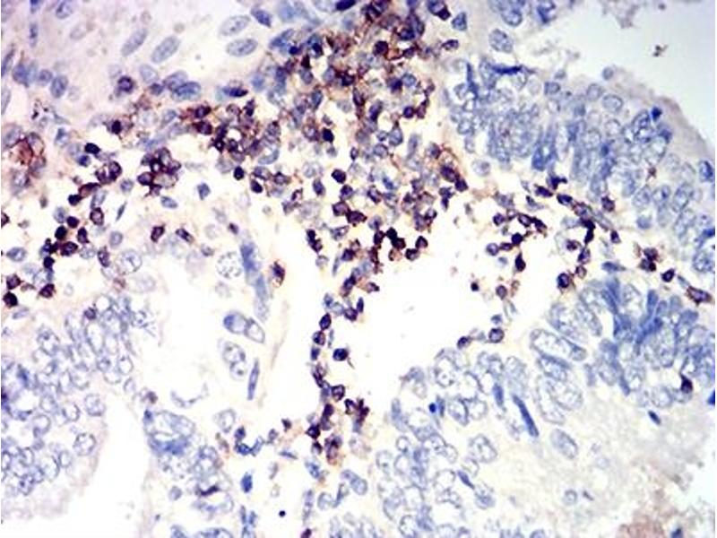
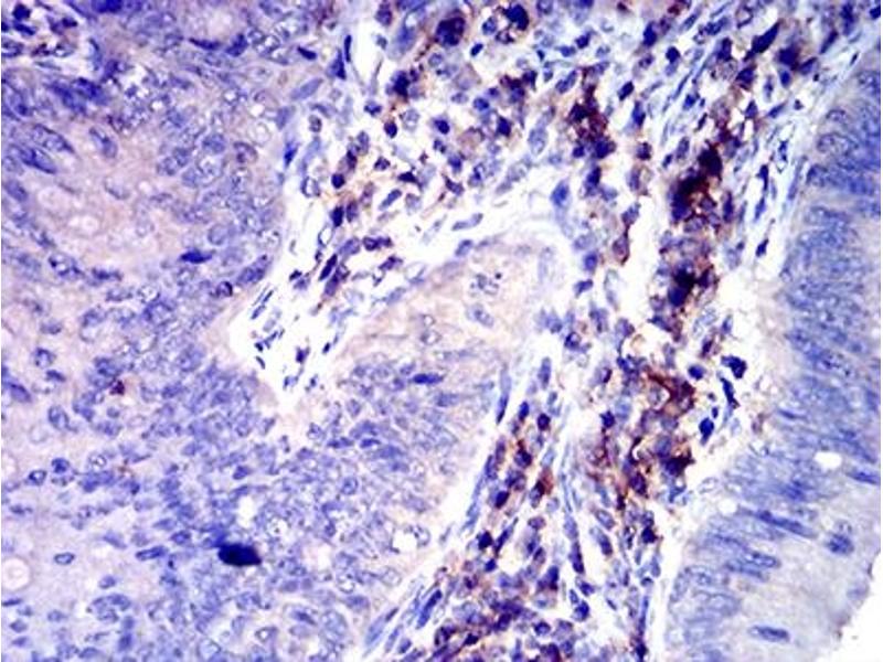
SLAMF6 抗体 (AA 22-226)

The 小鼠 单克隆 anti-SLAMF6 antibody (Clone 2F1C9) (ABIN7193226) specifically detects SLAMF6 in ELISA, FACS 和 IHC. The antibody is reactive with 人 samples.
产品编号 ABIN7193226
发货至: 中国
Contact our Customer Service for availability and price in your country. Contact Info

Our Local Distributor

中国
北京 101111
No. 88 KeChuang 6th Street
Beijing Economic Technological Development Area
Room 801-803
4A Biotech Co.,Ltd.
Tel +86 (0512) 65829739 传真 +86 (010) 6788 5057

Quick Overview for SLAMF6 抗体 (AA 22-226) (ABIN7193226)

抗原

See all SLAMF6 抗体
SLAMF6 (SLAM Family Member 6 (SLAMF6))

适用

  • 56
  • 7
  • 1

宿主

  • 36
  • 18
  • 4
  • 2
  • 1
小鼠

克隆类型

  • 34
  • 27
单克隆

标记

  • 27
  • 6
  • 5
  • 5
  • 5
  • 2
  • 1
  • 1
  • 1
  • 1
  • 1
  • 1
  • 1
  • 1
  • 1
  • 1
  • 1
This SLAMF6 antibody is un-conjugated

应用范围

  • 35
  • 20
  • 18
  • 10
  • 10
  • 5
  • 2
  • 1
  • 1
  • 1
  • 1
  • 1
  • 1
ELISA, Flow Cytometry (FACS), Immunohistochemistry (IHC)

克隆位点

2F1C9
  • 抗原表位

    • 9
    • 6
    • 4
    • 2
    • 2
    • 2
    • 2
    • 2
    • 1
    • 1
    • 1
    • 1
    • 1
    AA 22-226

    原理

    CD352 Antibody

    纯化方法

    Purified antibody

    免疫原

    Purified recombinant fragment of human CD352 (AA: 22-226) expressed in E. Coli.

    亚型

    IgG1
  • 应用备注

    ELISA: 1/10000

    FCM: 1/200 - 1/400

    限制

    仅限研究用
  • 状态

    Liquid

    缓冲液

    Purified antibody in PBS with 0.05 % sodium azide.

    储存液

    Sodium azide

    注意事项

    This product contains Sodium azide: a POISONOUS AND HAZARDOUS SUBSTANCE which should be handled by trained staff only.

    储存条件

    4 °C,-20 °C

    储存方法

    Store at 4°C short term. Aliquot and store at -20°C long term. Avoid freeze/thaw cycles.
  • 抗原

    SLAMF6 (SLAM Family Member 6 (SLAMF6))

    别名

    CD352

    背景

    The protein encoded by this gene is a type I transmembrane protein, belonging to the CD2 subfamily of the immunoglobulin superfamily. This encoded protein is expressed on Natural killer (NK), T, and B lymphocytes. It undergoes tyrosine phosphorylation and associates with the Src homology 2 domain-containing protein (SH2D1A) as well as with SH2 domain-containing phosphatases (SHPs). It functions as a coreceptor in the process of NK cell activation. It can also mediate inhibitory signals in NK cells from X-linked lymphoproliferative patients. Alternative splicing results in multiple transcript variants encoding distinct isoforms.

    分子量

    37.4 kDa

    基因ID

    114836

    UniProt

    Q96DU3
You are here: