IL17C 抗体
Our Local Distributor
北京 101111
Quick Overview for IL17C 抗体 (ABIN7189530)
抗原
See all IL17C 抗体适用
宿主
克隆类型
标记
应用范围
-
-
原理
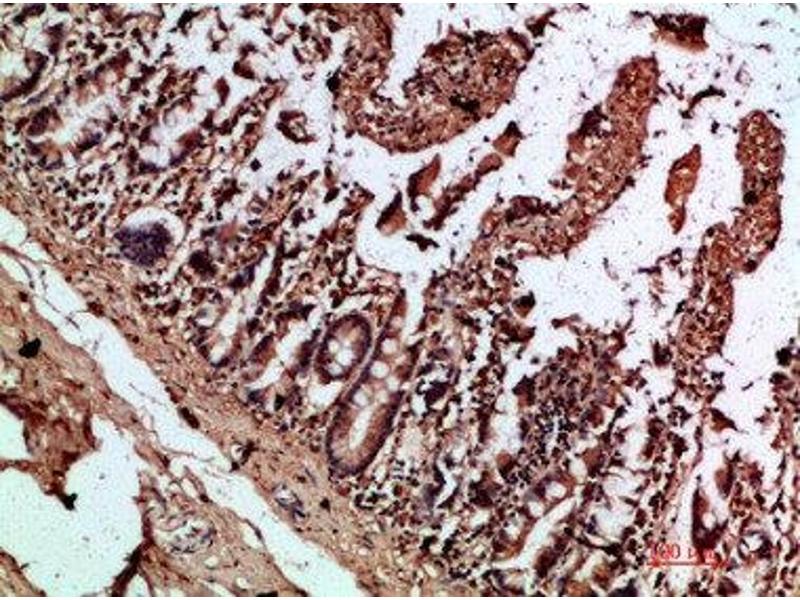
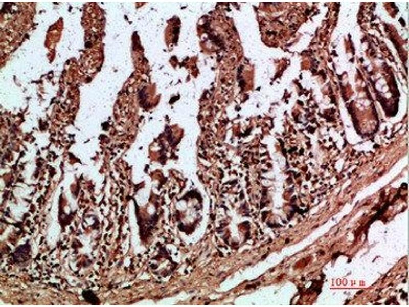
- IL17C Antibody
-
纯化方法
- The antibody was affinity-purified from rabbit serum by affinity-chromatography using specific immunogen.
-
免疫原
- Synthetic peptide from Human protein at AA range: 81-130
-
亚型
- IgG
-
-
-
-
应用备注
- Optimal working dilution should be determined by the investigator.
-
限制
- 仅限研究用
-
-
-
状态
- Liquid
-
缓冲液
- PBS, pH 7.4, containing 0.02 % sodium azide as Preservative and 50 % Glycerol.
-
储存液
- Sodium azide
-
注意事项
- This product contains Sodium azide: a POISONOUS AND HAZARDOUS SUBSTANCE which should be handled by trained staff only.
-
储存条件
- -20 °C,-80 °C
-
储存方法
- Upon receipt, store at -20°C or -80°C. Avoid repeated freeze.
-
-
- IL17C (Interleukin 17C (IL17C))
-
别名
- IL17C
-
背景
- CX2 antibody, Cytokine CX2 antibody, IL 17C antibody, IL 21 antibody, IL-17C antibody, IL17C antibody, IL17C_HUMAN antibody, Interleukin 17C antibody, Interleukin-17C antibody, MGC126884 antibody, MGC138401 antibody
-
UniProt
- Q9P0M4
-
途径
- Cellular Response to Molecule of Bacterial Origin
抗原
-