电话:
+86 (0512) 65829739
传真:
+86 (010) 6788 5057
电子邮件:
orders@antibodies-online.cn

DLEU7 抗体

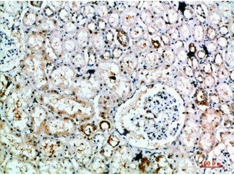
The 兔 多克隆 anti-DLEU7 antibody (ABIN7189509) specifically detects DLEU7 in ELISA 和 IHC. The antibody is reactive with 人 samples.
产品编号 ABIN7189509
发货至: 中国
Contact our Customer Service for availability and price in your country. Contact Info

Our Local Distributor

中国
北京 101111
No. 88 KeChuang 6th Street
Beijing Economic Technological Development Area
Room 801-803
4A Biotech Co.,Ltd.
Tel +86 (0512) 65829739 传真 +86 (010) 6788 5057

Quick Overview for DLEU7 抗体 (ABIN7189509)

抗原

DLEU7 (Deleted in Lymphocytic Leukemia, 7 (DLEU7))

适用

宿主

  • 3

克隆类型

  • 3
多克隆

标记

  • 3
This DLEU7 antibody is un-conjugated

应用范围

  • 2
  • 1
  • 1
ELISA, Immunohistochemistry (IHC)
  • 原理

    DLEU7 Antibody

    纯化方法

    The antibody was affinity-purified from rabbit serum by affinity-chromatography using specific immunogen.

    免疫原

    Synthetic peptide from Human protein at AA range: 51-100

    亚型

    IgG
  • 应用备注

    Optimal working dilution should be determined by the investigator.

    限制

    仅限研究用
  • 状态

    Liquid

    缓冲液

    PBS, pH 7.4, containing 0.02 % sodium azide as Preservative and 50 % Glycerol.

    储存液

    Sodium azide

    注意事项

    This product contains Sodium azide: a POISONOUS AND HAZARDOUS SUBSTANCE which should be handled by trained staff only.

    储存条件

    -20 °C,-80 °C

    储存方法

    Upon receipt, store at -20°C or -80°C. Avoid repeated freeze.
  • 抗原

    DLEU7 (Deleted in Lymphocytic Leukemia, 7 (DLEU7))

    别名

    DLEU7

    背景

    Deleted in lymphocytic leukemia 7 antibody, DLEU7 antibody, LEU7_HUMAN antibody, Leukemia-associated protein 7 antibody

    UniProt

    Q6UYE1
You are here: