PMCH 抗体
Our Local Distributor
北京 101111
Quick Overview for PMCH 抗体 (ABIN7189422)
抗原
See all PMCH 抗体适用
宿主
克隆类型
标记
应用范围
-
-
原理
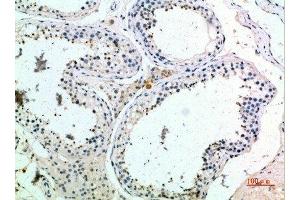
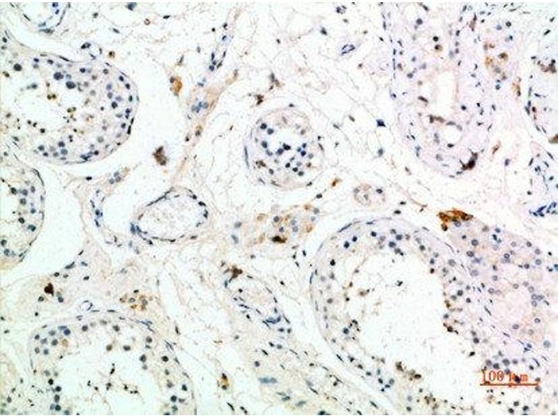
- PMCH Antibody
-
交叉反应
- 小鼠, 大鼠
-
纯化方法
- The antibody was affinity-purified from rabbit serum by affinity-chromatography using specific immunogen.
-
免疫原
- Synthetic peptide from Human protein at AA range: 112-161
-
亚型
- IgG
-
-
-
-
应用备注
- Optimal working dilution should be determined by the investigator.
-
限制
- 仅限研究用
-
-
-
状态
- Liquid
-
缓冲液
- PBS, pH 7.4, containing 0.02 % sodium azide as Preservative and 50 % Glycerol.
-
储存液
- Sodium azide
-
注意事项
- This product contains Sodium azide: a POISONOUS AND HAZARDOUS SUBSTANCE which should be handled by trained staff only.
-
储存条件
- -20 °C,-80 °C
-
储存方法
- Upon receipt, store at -20°C or -80°C. Avoid repeated freeze.
-
-
- PMCH (Pro-Melanin-Concentrating Hormone (PMCH))
-
别名
- PMCH
-
背景
- PMCH antibody, MCHPro-MCH [Cleaved into: Neuropeptide-glycine-glutamic acid antibody, NGE antibody, Neuropeptide G-E), Neuropeptide-glutamic acid-isoleucine antibody, NEI antibody, Neuropeptide E-I), Melanin-concentrating hormone antibody, MCH)] antibody
-
UniProt
- P20382
-
途径
- Carbohydrate Homeostasis, Feeding Behaviour
抗原
-