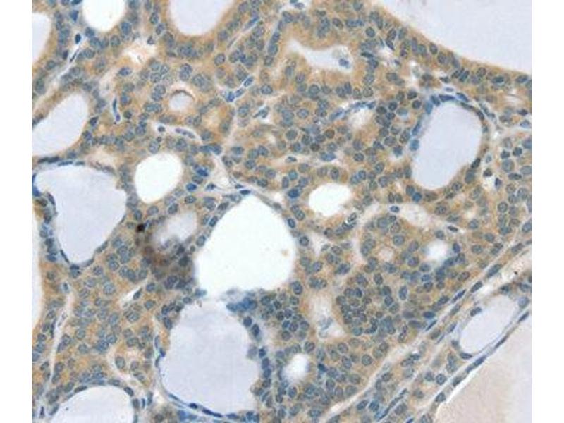
Superoxide dismutase copper chaperone 抗体 (C-Term)
Our Local Distributor
北京 101111
Quick Overview for Superoxide dismutase copper chaperone 抗体 (C-Term) (ABIN7189382)
抗原
See all Superoxide dismutase copper chaperone (CCS) 抗体适用
宿主
克隆类型
标记
应用范围
-
-
抗原表位
- C-Term
-
原理
- CCS Antibody
-
交叉反应
- 小鼠, 大鼠
-
纯化方法
- Antigen Affinity Purified
-
免疫原
- Synthetic peptide corresponding to residues near the C terminal of Human copper chaperone for superoxide dismutase
-
亚型
- IgG
-
-
-
-
应用备注
- Optimal working dilution should be determined by the investigator.
-
限制
- 仅限研究用
-
-
-
状态
- Liquid
-
缓冲液
- pH 7.3 PBS, 0.05 % Sodium azide, 50 % Glycerol.
-
储存液
- Sodium azide
-
注意事项
- This product contains Sodium azide: a POISONOUS AND HAZARDOUS SUBSTANCE which should be handled by trained staff only.
-
储存条件
- -20 °C,-80 °C
-
储存方法
- Upon receipt, store at -20°C or -80°C. Avoid repeated freeze.
-
-
- Superoxide dismutase copper chaperone (CCS) (Copper Chaperone For Superoxide Dismutase (CCS))
-
别名
- CCS
-
背景
-
Background: Copper chaperone for superoxide dismutase specifically delivers Cu to copper/zinc superoxide dismutase and may activate copper/zinc superoxide dismutase through direct insertion of the Cu cofactor.?
Aliases: CCS antibody, CCS_HUMAN antibody, Copper chaperone for superoxide dismutase antibody, MGC138260 antibody, SOD 4 antibody, SOD4 antibody, Superoxide dismutase copper chaperone antibody
-
UniProt
- O14618
-
途径
- Transition Metal Ion Homeostasis
抗原
-