电话:
+86 (0512) 65829739
传真:
+86 (010) 6788 5057
电子邮件:
orders@antibodies-online.cn

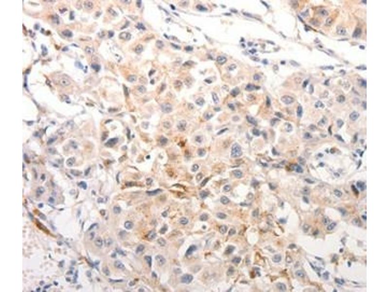
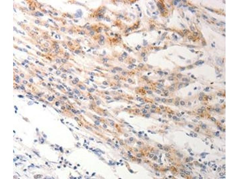
Keratin 6C 抗体

This 兔 多克隆 antibody specifically detects Keratin 6C in IHC 和 ELISA. It exhibits reactivity toward 人.
产品编号 ABIN7189372
发货至: 中国
Contact our Customer Service for availability and price in your country. Contact Info

Our Local Distributor

中国
北京 101111
No. 88 KeChuang 6th Street
Beijing Economic Technological Development Area
Room 801-803
4A Biotech Co.,Ltd.
Tel +86 (0512) 65829739 传真 +86 (010) 6788 5057

Quick Overview for Keratin 6C 抗体 (ABIN7189372)

抗原

See all Keratin 6C (KRT6C) 抗体
Keratin 6C (KRT6C)

适用

  • 16
  • 1
  • 1

宿主

  • 15
  • 1

克隆类型

  • 11
  • 5
多克隆

标记

  • 11
  • 1
  • 1
  • 1
  • 1
  • 1
This Keratin 6C antibody is un-conjugated

应用范围

  • 14
  • 13
  • 9
  • 1
  • 1
  • 1
  • 1
  • 1
  • 1
Immunohistochemistry (IHC), ELISA
  • 原理

    KRT6C Antibody

    交叉反应

    小鼠, 大鼠

    纯化方法

    Antigen Affinity Purified

    免疫原

    Synthetic peptide corresponding to a region derived from internal residues of Human keratin 6C

    亚型

    IgG
  • 应用备注

    Optimal working dilution should be determined by the investigator.

    限制

    仅限研究用
  • 状态

    Liquid

    缓冲液

     pH 7.3 PBS, 0.05 % Sodium azide, 50 % Glycerol.

    储存液

    Sodium azide

    注意事项

    This product contains Sodium azide: a POISONOUS AND HAZARDOUS SUBSTANCE which should be handled by trained staff only.

    储存条件

    -20 °C,-80 °C

    储存方法

    Upon receipt, store at -20°C or -80°C. Avoid repeated freeze.
  • 抗原

    Keratin 6C (KRT6C)

    别名

    KRT6C

    背景

    Background: Keratins are intermediate filament proteins responsible for the structural integrity of epithelial cells and are subdivided into epithelial keratins and hair keratins. The type II keratins are clustered in a region of chromosome 12q13.

    Aliases: CK 6A antibody, CK 6B antibody, CK 6C antibody, CK 6D antibody, CK 6E antibody, CK-6B antibody, CK-6C antibody, CK-6E antibody, Cytokeratin 6a antibody, Cytokeratin 6B antibody, Cytokeratin 6C antibody, Cytokeratin 6D antibody, Cytokeratin 6E antibody, Cytokeratin-6B antibody, Cytokeratin-6C antibody, Cytokeratin-6E antibody, K2C6C_HUMAN antibody, K6a keratin antibody, K6b keratin antibody, K6C antibody, K6c keratin antibody, K6d keratin antibody, K6e keratin antibody, Keratin antibody, Keratin K6h antibody, Keratin type II cytoskeletal 6A antibody, Keratin type II cytoskeletal 6B antibody, Keratin type II cytoskeletal 6C antibody, Keratin type II cytoskeletal 6D antibody, Keratin type II cytoskeletal 6E antibody, Keratin-6C antibody, KRT6A antibody, KRT6B antibody, KRT6C antibody, KRT6D antibody, KRT6E antibody, type II cytoskeletal 6C antibody, Type-II keratin Kb12 antibody

    UniProt

    P48668
You are here: