电话:
+86 (0512) 65829739
传真:
+86 (010) 6788 5057
电子邮件:
orders@antibodies-online.cn

NPY5R 抗体 (Internal Region)

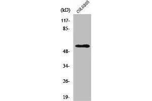
The 兔 多克隆 anti-NPY5R antibody is suitable to detect NPY5R in samples from 人. It has been validated for WB, IF, IHC 和 ELISA.
产品编号 ABIN7187540
发货至: 中国
Contact our Customer Service for availability and price in your country. Contact Info

Our Local Distributor

中国
北京 101111
No. 88 KeChuang 6th Street
Beijing Economic Technological Development Area
Room 801-803
4A Biotech Co.,Ltd.
Tel +86 (0512) 65829739 传真 +86 (010) 6788 5057

Quick Overview for NPY5R 抗体 (Internal Region) (ABIN7187540)

抗原

See all NPY5R 抗体
NPY5R (Neuropeptide Y Receptor Y5 (NPY5R))

适用

  • 51
  • 9
  • 6
  • 3
  • 3
  • 2
  • 1

宿主

  • 49
  • 2
  • 2

克隆类型

  • 41
  • 12
多克隆

标记

  • 24
  • 3
  • 2
  • 1
  • 1
  • 1
  • 1
  • 1
  • 1
  • 1
  • 1
  • 1
  • 1
  • 1
  • 1
  • 1
  • 1
  • 1
  • 1
  • 1
  • 1
  • 1
  • 1
  • 1
  • 1
  • 1
  • 1
This NPY5R antibody is un-conjugated

应用范围

  • 48
  • 17
  • 14
  • 13
  • 12
  • 11
  • 7
  • 2
  • 1
Western Blotting (WB), Immunofluorescence (IF), Immunohistochemistry (IHC), ELISA
  • 抗原表位

    • 4
    • 3
    • 3
    • 2
    • 2
    • 2
    • 1
    • 1
    • 1
    • 1
    • 1
    • 1
    • 1
    • 1
    • 1
    • 1
    Internal Region

    原理

    NPY5R Antibody

    交叉反应

    小鼠, 大鼠

    纯化方法

    The antibody was affinity-purified from rabbit antiserum by affinity-chromatography using epitope-specific immunogen.

    免疫原

    Synthesized peptide derived from the Internal region of Human NPY5-R.

    亚型

    IgG
  • 应用备注

    Optimal working dilution should be determined by the investigator.

    限制

    仅限研究用
  • 状态

    Liquid

    缓冲液

    PBS containing 50 % glycerol, 0.5 % BSA and 0.02 % sodium azide.

    储存液

    Sodium azide

    注意事项

    This product contains Sodium azide: a POISONOUS AND HAZARDOUS SUBSTANCE which should be handled by trained staff only.

    储存条件

    -20 °C,-80 °C

    储存方法

    Upon receipt, store at -20°C or -80°C. Avoid repeated freeze.
  • 抗原

    NPY5R (Neuropeptide Y Receptor Y5 (NPY5R))

    别名

    NPY5R

    背景

    Neuropeptide Y receptor type 5 antibody, Neuropeptide Y receptor Y5 antibody, NPY 5R antibody, NPY R5 antibody, NPY Y5 antibody, NPY Y5 receptor antibody, NPY-Y5 receptor antibody, NPY5 R antibody, NPY5-R antibody, NPY5R antibody, NPY5R_HUMAN antibody, NPYR 5 antibody, NPYR5 antibody, NPYY 5 antibody, NPYY5 antibody, NPYY5-R antibody, Y5 receptor antibody

    UniProt

    Q15761

    途径

    Feeding Behaviour
You are here: