电话:
+86 (0512) 65829739
传真:
+86 (010) 6788 5057
电子邮件:
orders@antibodies-online.cn

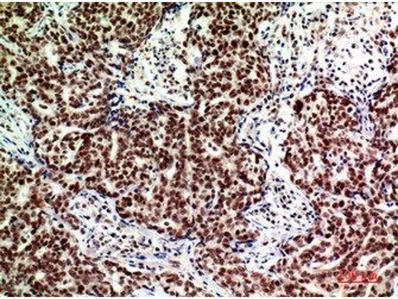
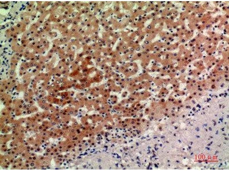
ACER2 抗体 (Internal Region)

This 兔 多克隆 antibody specifically detects ACER2 in WB, ELISA 和 IHC. It exhibits reactivity toward 人.
产品编号 ABIN7185929
发货至: 中国
Contact our Customer Service for availability and price in your country. Contact Info

Our Local Distributor

中国
北京 101111
No. 88 KeChuang 6th Street
Beijing Economic Technological Development Area
Room 801-803
4A Biotech Co.,Ltd.
Tel +86 (0512) 65829739 传真 +86 (010) 6788 5057

Quick Overview for ACER2 抗体 (Internal Region) (ABIN7185929)

抗原

See all ACER2 抗体
ACER2 (Alkaline Ceramidase 2 (ACER2))

适用

  • 13
  • 6
  • 3
  • 2
  • 2
  • 2
  • 2
  • 2
  • 1
  • 1
  • 1
  • 1

宿主

  • 13

克隆类型

  • 13
多克隆

标记

  • 6
  • 1
  • 1
  • 1
  • 1
  • 1
  • 1
  • 1
This ACER2 antibody is un-conjugated

应用范围

  • 6
  • 3
  • 1
  • 1
  • 1
  • 1
Western Blotting (WB), ELISA, Immunohistochemistry (IHC)
  • 抗原表位

    • 1
    • 1
    • 1
    • 1
    • 1
    Internal Region

    原理

    ACER2 Antibody

    交叉反应

    小鼠

    纯化方法

    The antibody was affinity-purified from rabbit antiserum by affinity-chromatography using epitope-specific immunogen.

    免疫原

    Synthesized peptide derived from the Internal region of Human ASAH3L. at AA rangle: 50-130

    亚型

    IgG
  • 应用备注

    Optimal working dilution should be determined by the investigator.

    限制

    仅限研究用
  • 状态

    Liquid

    缓冲液

    PBS containing 50 % glycerol, 0.5 % BSA and 0.02 % sodium azide.

    储存液

    Sodium azide

    注意事项

    This product contains Sodium azide: a POISONOUS AND HAZARDOUS SUBSTANCE which should be handled by trained staff only.

    储存条件

    -20 °C,-80 °C

    储存方法

    Upon receipt, store at -20°C or -80°C. Avoid repeated freeze.
  • 抗原

    ACER2 (Alkaline Ceramidase 2 (ACER2))

    别名

    ACER2

    背景

    ACER2 antibody, ASAH3L antibody, PP11646 antibody, Alkaline ceramidase 2 antibody, AlkCDase 2 antibody, Alkaline CDase 2 antibody, haCER2 antibody, EC 3.5.1.- antibody, EC 3.5.1.23 antibody, Acylsphingosine deacylase 3-like antibody, N-acylsphingosine amidohydrolase 3-like antibody

    UniProt

    Q5QJU3

    途径

    Positive Regulation of Endopeptidase Activity, Regulation of Carbohydrate Metabolic Process
You are here: