电话:
+86 (0512) 65829739
传真:
+86 (010) 6788 5057
电子邮件:
orders@antibodies-online.cn

PGLS 抗体 (C-Term)

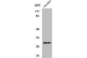
The 兔 多克隆 anti-PGLS antibody (ABIN7185412) specifically detects PGLS in WB, IHC 和 ELISA. The antibody is reactive with 人 samples.
产品编号 ABIN7185412
发货至: 中国
Contact our Customer Service for availability and price in your country. Contact Info

Our Local Distributor

中国
北京 101111
No. 88 KeChuang 6th Street
Beijing Economic Technological Development Area
Room 801-803
4A Biotech Co.,Ltd.
Tel +86 (0512) 65829739 传真 +86 (010) 6788 5057

Quick Overview for PGLS 抗体 (C-Term) (ABIN7185412)

抗原

See all PGLS 抗体
PGLS (6-phosphogluconolactonase (PGLS))

适用

  • 41
  • 8
  • 6
  • 2
  • 2
  • 2
  • 2
  • 1
  • 1
  • 1

宿主

  • 37
  • 4

克隆类型

  • 39
  • 2
多克隆

标记

  • 21
  • 1
  • 1
  • 1
  • 1
  • 1
  • 1
  • 1
  • 1
  • 1
  • 1
  • 1
  • 1
  • 1
  • 1
  • 1
  • 1
  • 1
  • 1
  • 1
  • 1
This PGLS antibody is un-conjugated

应用范围

  • 35
  • 13
  • 13
  • 11
  • 10
  • 7
  • 5
  • 4
  • 4
  • 3
  • 3
  • 1
Western Blotting (WB), Immunohistochemistry (IHC), ELISA
  • 抗原表位

    • 15
    • 5
    • 5
    • 2
    • 1
    • 1
    • 1
    • 1
    • 1
    • 1
    C-Term

    原理

    PGLS Antibody

    纯化方法

    The antibody was affinity-purified from rabbit antiserum by affinity-chromatography using epitope-specific immunogen.

    免疫原

    Synthesized peptide derived from the C-terminal region of Human PGLS.

    亚型

    IgG
  • 应用备注

    Optimal working dilution should be determined by the investigator.

    限制

    仅限研究用
  • 状态

    Liquid

    缓冲液

    PBS containing 50 % glycerol, 0.5 % BSA and 0.02 % sodium azide.

    储存液

    Sodium azide

    注意事项

    This product contains Sodium azide: a POISONOUS AND HAZARDOUS SUBSTANCE which should be handled by trained staff only.

    储存条件

    -20 °C,-80 °C

    储存方法

    Upon receipt, store at -20°C or -80°C. Avoid repeated freeze.
  • 抗原

    PGLS (6-phosphogluconolactonase (PGLS))

    别名

    PGLS

    背景

    PGLS6-phosphogluconolactonase antibody, 6PGL antibody, EC 3.1.1.31 antibody

    UniProt

    O95336
You are here: