电话:
+86 (0512) 65829739
传真:
+86 (010) 6788 5057
电子邮件:
orders@antibodies-online.cn

HOXB1 抗体

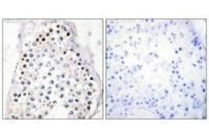
The 兔 多克隆 anti-HOXB1 antibody (ABIN7183645) specifically detects HOXB1 in ELISA 和 IHC. The antibody is reactive with 人 samples.
产品编号 ABIN7183645
发货至: 中国
Contact our Customer Service for availability and price in your country. Contact Info

Our Local Distributor

中国
北京 101111
No. 88 KeChuang 6th Street
Beijing Economic Technological Development Area
Room 801-803
4A Biotech Co.,Ltd.
Tel +86 (0512) 65829739 传真 +86 (010) 6788 5057

Quick Overview for HOXB1 抗体 (ABIN7183645)

抗原

See all HOXB1 抗体
HOXB1 (Homeobox B1 (HOXB1))

适用

  • 32
  • 25
  • 10
  • 6
  • 6
  • 5
  • 5
  • 4
  • 3
  • 2
  • 1
  • 1
  • 1
  • 1
  • 1

宿主

  • 39
  • 3

克隆类型

  • 40
  • 2
多克隆

标记

  • 30
  • 2
  • 1
  • 1
  • 1
  • 1
  • 1
  • 1
  • 1
  • 1
  • 1
  • 1
This HOXB1 antibody is un-conjugated

应用范围

  • 33
  • 17
  • 3
  • 3
  • 2
ELISA, Immunohistochemistry (IHC)
  • 原理

    HOXB1/HOXA1/HOXD1 Antibody

    交叉反应

    小鼠

    纯化方法

    The antibody was affinity-purified from rabbit antiserum by affinity-chromatography using epitope-specific immunogen.

    免疫原

    Synthesized peptide derived from internal of Human HOXA1/B1/D1.

    亚型

    IgG
  • 应用备注

    Optimal working dilution should be determined by the investigator.

    限制

    仅限研究用
  • 状态

    Liquid

    缓冲液

    phosphate buffered saline (without Mg2+ and Ca2+), pH 7.4, 150 mM NaCl, 0.02 % sodium azide and 50 % glycerol.

    储存液

    Sodium azide

    注意事项

    This product contains Sodium azide: a POISONOUS AND HAZARDOUS SUBSTANCE which should be handled by trained staff only.

    储存条件

    -20 °C,-80 °C

    储存方法

    Upon receipt, store at -20°C or -80°C. Avoid repeated freeze.
  • 抗原

    HOXB1 (Homeobox B1 (HOXB1))

    别名

    HOXB1

    背景

    Background: Sequence-specific transcription factor which is part of a developmental regulatory system that provides cells with specific positional identities on the anterior-posterior axis. Acts on the anterior body structures.

    Acampora D., Nucleic Acids Res. 17:10385-10402(1989).
    Boncinelli E., Genome 31:745-756(1989).
    Piper D.E., Cell 96:587-597(1999).

    Aliases: HCFP3 antibody, Homeo box 2I antibody, Homeo box B1 antibody, Homeobox 2I antibody, Homeobox B1 antibody, Homeobox protein Hox B1 antibody, Homeobox protein Hox-2I antibody, Homeobox protein Hox-B1 antibody, Homeobox protein HoxB1 antibody, Homeobox2I antibody, HomeoboxB1 antibody, HOX 2 antibody, Hox 2.9 antibody, HOX 2I antibody, HOX B1 antibody, HOX2 antibody, Hox2.9 antibody, HOX2I antibody, HOXB 1 antibody, HOXB1 antibody, HOXB1 protein antibody, HXB1_HUMAN antibody, MGC116843 antibody, MGC116844 antibody, MGC116845 antibody

    UniProt

    P14653
You are here: