电话:
+86 (0512) 65829739
传真:
+86 (010) 6788 5057
电子邮件:
orders@antibodies-online.cn

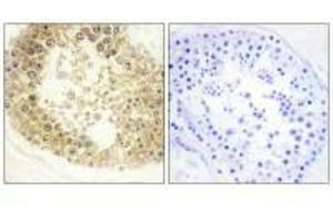
C2orf40 抗体

This 兔 多克隆 antibody specifically detects C2orf40 in IHC, ELISA 和 IF. It exhibits reactivity toward 人.
产品编号 ABIN7183478
发货至: 中国
Contact our Customer Service for availability and price in your country. Contact Info

Our Local Distributor

中国
北京 101111
No. 88 KeChuang 6th Street
Beijing Economic Technological Development Area
Room 801-803
4A Biotech Co.,Ltd.
Tel +86 (0512) 65829739 传真 +86 (010) 6788 5057

Quick Overview for C2orf40 抗体 (ABIN7183478)

抗原

See all C2orf40 抗体
C2orf40 (Chromosome 2 Open Reading Frame 40 (C2orf40))

适用

  • 41
  • 26
  • 23
  • 3
  • 3

宿主

  • 37
  • 4

克隆类型

  • 37
  • 4
多克隆

标记

  • 17
  • 1
  • 1
  • 1
  • 1
  • 1
  • 1
  • 1
  • 1
  • 1
  • 1
  • 1
  • 1
  • 1
  • 1
  • 1
  • 1
  • 1
  • 1
  • 1
  • 1
  • 1
  • 1
  • 1
  • 1
This C2orf40 antibody is un-conjugated

应用范围

  • 28
  • 13
  • 8
  • 7
  • 7
  • 4
  • 3
  • 2
  • 2
  • 1
Immunohistochemistry (IHC), ELISA, Immunofluorescence (IF)
  • 原理

    C2orf40 Antibody

    交叉反应

    小鼠

    纯化方法

    The antibody was affinity-purified from rabbit antiserum by affinity-chromatography using epitope-specific immunogen.

    免疫原

    Synthesized peptide derived from internal of Human ECRG4.

    亚型

    IgG
  • 应用备注

    Optimal working dilution should be determined by the investigator.

    限制

    仅限研究用
  • 状态

    Liquid

    缓冲液

    phosphate buffered saline (without Mg2+ and Ca2+), pH 7.4, 150 mM NaCl, 0.02 % sodium azide and 50 % glycerol.

    储存液

    Sodium azide

    注意事项

    This product contains Sodium azide: a POISONOUS AND HAZARDOUS SUBSTANCE which should be handled by trained staff only.

    储存条件

    -20 °C,-80 °C

    储存方法

    Upon receipt, store at -20°C or -80°C. Avoid repeated freeze.
  • 抗原

    C2orf40 (Chromosome 2 Open Reading Frame 40 (C2orf40))

    别名

    C2orf40

    背景

    Background: Probable hormone that may induce senescence of oligodendrocyte and neural precursor cells, characterized by G1 arrest, RB1 dephosphorylation and accelerated CCND1 and CCND3 proteasomal degradation By similarity.

    Bi M., Submitted (DEC-2000) to the EMBL/GenBank/DDBJ databases.
    Clark H.F., Genome Res. 13:2265-2270(2003).
    Hillier L.W., Nature 434:724-731(2005).

    Aliases: AUGN_HUMAN antibody, Augurin antibody, C2orf40 antibody, Esophageal cancer-related gene 4 protein antibody

    UniProt

    Q9H1Z8
You are here: