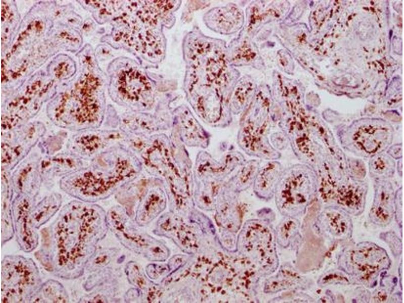
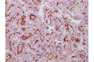
F13A1 抗体
Our Local Distributor
北京 101111
Quick Overview for F13A1 抗体 (ABIN7181182)
抗原
See all F13A1 抗体适用
宿主
克隆类型
标记
应用范围
-
-
原理
- F13A1 Monoclonal Antibody
-
纯化方法
- The antibody was affinity-purified from mouse ascites by affinity-chromatography using specific immunogen.
-
免疫原
- Synthesized peptide derived from human Factor XIIIa
-
亚型
- IgG2a, kappa
-
-
-
-
应用备注
- Optimal working dilution should be determined by the investigator.
-
限制
- 仅限研究用
-
-
-
状态
- Liquid
-
缓冲液
- PBS containing 50 % glycerol, 0.5 % BSA and 0.02 % sodium azide.
-
储存液
- Sodium azide
-
注意事项
- This product contains Sodium azide: a POISONOUS AND HAZARDOUS SUBSTANCE which should be handled by trained staff only.
-
储存条件
- -20 °C,-80 °C
-
储存方法
- Upon receipt, store at -20°C or -80°C. Avoid repeated freeze.
-
-
- F13A1 (Coagulation Factor XIII, A1 Polypeptide (F13A1))
-
别名
- F13A1
-
背景
-
Background: Factor XIII is activated by thrombin and calcium ion to a transglutaminase that catalyzes the formation of gamma-glutamyl-epsilon-lysine cross-links between fibrin chains, thus stabilizing the fibrin clot. Also cross-link alpha-2-plasmin inhibitor, or fibronectin, to the alpha chains of fibrin.
Aliases: Coagulation factor XIII A chain (Coagulation factor XIIIa) (EC 2.3.2.13) (Protein-glutamine gamma-glutamyltransferase A chain) (Transglutaminase A chain), F13A1, F13A
-
UniProt
- P00488
抗原
-