电话:
+86 (0512) 65829739
传真:
+86 (010) 6788 5057
电子邮件:
orders@antibodies-online.cn

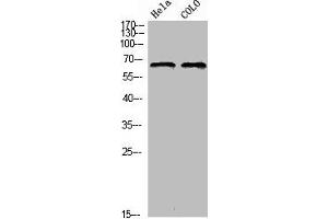
Ezrin 抗体 (pThr566)

The 兔 多克隆 anti-Ezrin antibody (ABIN7181176) specifically detects Ezrin in WB 和 ELISA. The antibody is reactive with 人 samples.
产品编号 ABIN7181176
发货至: 中国
Contact our Customer Service for availability and price in your country. Contact Info

Our Local Distributor

中国
北京 101111
No. 88 KeChuang 6th Street
Beijing Economic Technological Development Area
Room 801-803
4A Biotech Co.,Ltd.
Tel +86 (0512) 65829739 传真 +86 (010) 6788 5057

Quick Overview for Ezrin 抗体 (pThr566) (ABIN7181176)

抗原

See all Ezrin (EZR) 抗体
Ezrin (EZR)

适用

  • 163
  • 84
  • 78
  • 9
  • 8
  • 7
  • 5
  • 4
  • 3
  • 3
  • 3
  • 1
  • 1
  • 1
  • 1

宿主

  • 144
  • 21
  • 2
  • 1

克隆类型

  • 125
  • 43
多克隆

标记

  • 97
  • 8
  • 4
  • 4
  • 4
  • 4
  • 4
  • 4
  • 4
  • 3
  • 2
  • 2
  • 2
  • 2
  • 2
  • 2
  • 2
  • 2
  • 2
  • 2
  • 2
  • 1
  • 1
  • 1
  • 1
  • 1
  • 1
  • 1
  • 1
  • 1
  • 1
This Ezrin antibody is un-conjugated

应用范围

  • 139
  • 58
  • 50
  • 20
  • 16
  • 15
  • 13
  • 13
  • 10
  • 9
  • 9
  • 3
  • 2
  • 1
  • 1
  • 1
  • 1
  • 1
  • 1
  • 1
Western Blotting (WB), ELISA
  • 抗原表位

    • 30
    • 16
    • 10
    • 9
    • 9
    • 7
    • 6
    • 6
    • 5
    • 5
    • 5
    • 3
    • 2
    • 2
    • 2
    • 2
    • 2
    • 2
    • 1
    • 1
    • 1
    • 1
    • 1
    • 1
    • 1
    • 1
    • 1
    • 1
    • 1
    • 1
    • 1
    • 1
    • 1
    • 1
    • 1
    • 1
    • 1
    • 1
    • 1
    • 1
    • 1
    • 1
    pThr566

    原理

    Phospho-EZR (T566) Antibody

    交叉反应

    小鼠, 大鼠

    纯化方法

    The antibody was affinity-purified from rabbit antiserum by affinity-chromatography using epitope-specific immunogen.

    免疫原

    Synthesized peptide derived from Human Ezrin around the phosphorylation site of T566.

    亚型

    IgG
  • 应用备注

    Optimal working dilution should be determined by the investigator.

    限制

    仅限研究用
  • 状态

    Liquid

    缓冲液

    PBS containing 50 % glycerol, 0.5 % BSA and 0.02 % sodium azide.

    储存液

    Sodium azide

    注意事项

    This product contains Sodium azide: a POISONOUS AND HAZARDOUS SUBSTANCE which should be handled by trained staff only.

    储存条件

    -20 °C,-80 °C

    储存方法

    Upon receipt, store at -20°C or -80°C. Avoid repeated freeze.
  • 抗原

    Ezrin (EZR)

    别名

    EZR

    背景

    Villin 2 ezrin antibody, CVIL antibody, CVL antibody, Cytovillin 2 antibody, Cytovillin antibody, DKFZp762H157 antibody, Epididymis secretory protein Li 105 antibody, EZR antibody, EZRI_HUMAN antibody, Ezrin antibody, FLJ26216 antibody, HEL S 105 antibody, MGC1584 antibody, p81 antibody, VIL 2 antibody, VIL2 antibody, Villin 2 (ezrin) antibody, Villin 2 antibody, Villin-2 antibody, Villin2 antibody

    UniProt

    P15311

    途径

    Maintenance of Protein Location
You are here: