BMP10 抗体
Our Local Distributor
北京 101111
Quick Overview for BMP10 抗体 (ABIN7180108)
抗原
See all BMP10 抗体适用
宿主
克隆类型
标记
应用范围
-
-
原理
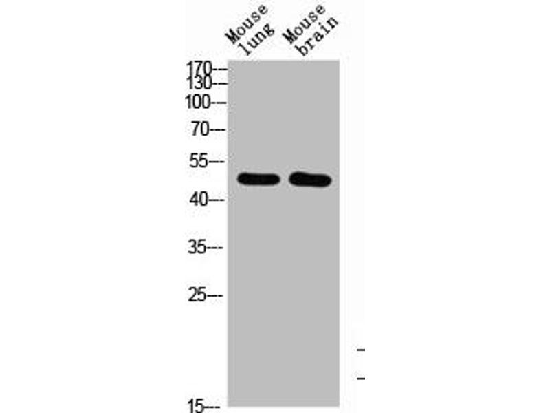
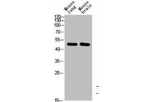
- BMP10 Antibody
-
交叉反应
- 小鼠, 大鼠
-
纯化方法
- The antibody was affinity-purified from rabbit antiserum by affinity-chromatography using epitope-specific immunogen.
-
免疫原
- Synthesized peptide derived from BMP-10 at AA range: 361-410
-
亚型
- IgG
-
-
-
-
应用备注
- Optimal working dilution should be determined by the investigator.
-
限制
- 仅限研究用
-
-
-
状态
- Liquid
-
缓冲液
- PBS containing 50 % glycerol, 0.5 % BSA and 0.02 % sodium azide.
-
储存液
- Sodium azide
-
注意事项
- This product contains Sodium azide: a POISONOUS AND HAZARDOUS SUBSTANCE which should be handled by trained staff only.
-
储存条件
- -20 °C,-80 °C
-
储存方法
- Upon receipt, store at -20°C or -80°C. Avoid repeated freeze.
-
-
- BMP10 (Bone Morphogenetic Protein 10 (BMP10))
-
别名
- BMP10
-
背景
- BMP-10 antibody, Bmp10 antibody, BMP10_HUMAN antibody, Bone morphogenetic protein 10 antibody, Bone morphogenetic protein 10 preproprotein antibody, MGC126783 antibody, OTTHUMP00000159973 antibody
-
UniProt
- O95393
-
途径
- Hormone Activity, Regulation of Muscle Cell Differentiation
抗原
-