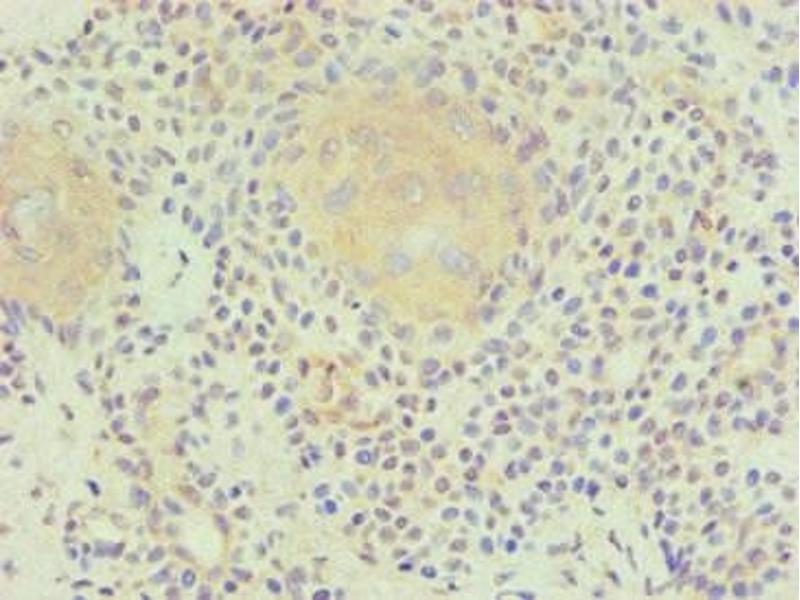
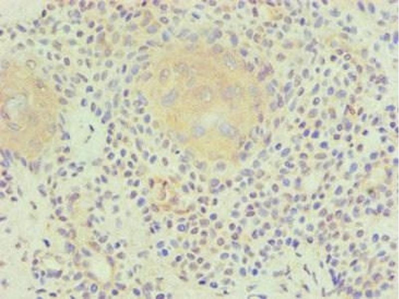
PLA2G7 抗体
Our Local Distributor
北京 101111
Quick Overview for PLA2G7 抗体 (ABIN7176818)
抗原
See all PLA2G7 (Lp-PLA2) 抗体适用
宿主
克隆类型
标记
应用范围
克隆位点
-
-
原理
- PLA2G7 Monoclonal Antibody
-
交叉反应
- 小鼠
-
纯化方法
- Protein G purified
-
纯度
- >95 %
-
免疫原
- Recombinant LP-PLA2 Protein
-
亚型
- IgG1
-
-
-
-
应用备注
- Optimal working dilution should be determined by the investigator.
-
限制
- 仅限研究用
-
-
-
状态
- Liquid
-
缓冲液
-
Preservative: 0.03 % Proclin 300
Constituents: 50 % Glycerol, 0.01M PBS, PH 7.4 -
储存液
- ProClin
-
注意事项
- This product contains ProClin: a POISONOUS AND HAZARDOUS SUBSTANCE which should be handled by trained staff only.
-
储存条件
- -20 °C,-80 °C
-
储存方法
- Upon receipt, store at -20°C or -80°C. Avoid repeated freeze.
-
-
- PLA2G7 (Lp-PLA2) (Lipoprotein-Associated phospholipase A2 (Lp-PLA2))
-
别名
- PLA2G7
-
背景
-
Background: Platelet-activating factor acetylhydrolase deficiency (PAFAD) : An enzymatic deficiency that results in exacerbated bodily response to inflammatory agents. It can be associated with several disease states including inflammatory gastrointestinal disorders, asthma and atopy. Asthmatic individuals with PAFAD may manifest aggravated respiratory symptoms.
Aliases: PLA2G7, PAFAH, LP-PLA2
-
UniProt
- Q13093
-
途径
- Peptide Hormone Metabolism
抗原
-