电话:
+86 (0512) 65829739
传真:
+86 (010) 6788 5057
电子邮件:
orders@antibodies-online.cn

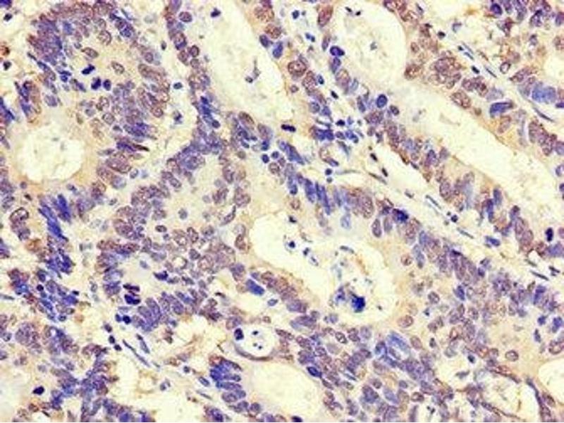
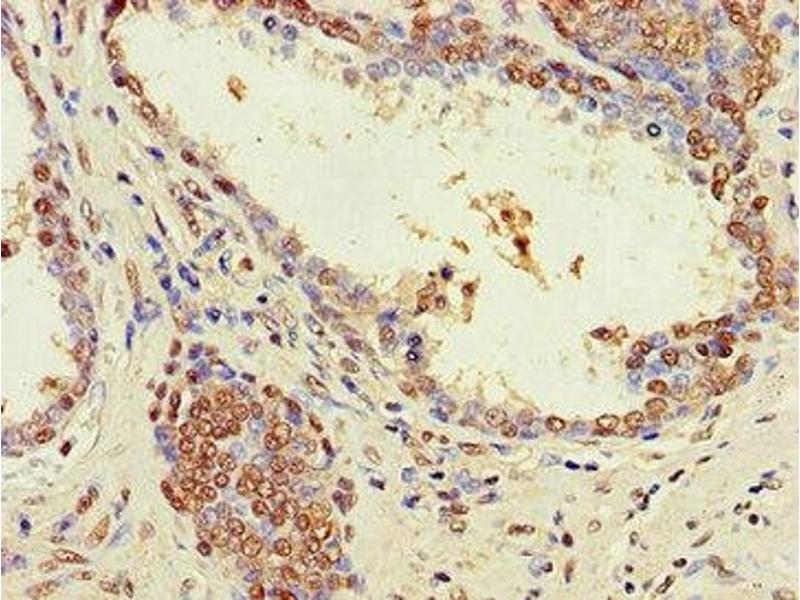
ZNF844 抗体 (AA 1-300)

The 兔 多克隆 anti-ZNF844 antibody is suitable to detect ZNF844 in samples from 人. It has been validated for ELISA 和 IHC.
产品编号 ABIN7176555
发货至: 中国
Contact our Customer Service for availability and price in your country. Contact Info

Our Local Distributor

中国
北京 101111
No. 88 KeChuang 6th Street
Beijing Economic Technological Development Area
Room 801-803
4A Biotech Co.,Ltd.
Tel +86 (0512) 65829739 传真 +86 (010) 6788 5057

Quick Overview for ZNF844 抗体 (AA 1-300) (ABIN7176555)

抗原

See all ZNF844 抗体
ZNF844 (Zinc Finger Protein 844 (ZNF844))

适用

宿主

  • 5

克隆类型

  • 5
多克隆

标记

  • 2
  • 1
  • 1
  • 1
This ZNF844 antibody is un-conjugated

应用范围

ELISA, Immunohistochemistry (IHC)
  • 抗原表位

    AA 1-300

    原理

    ZNF844 Antibody

    纯化方法

    Protein G purified

    纯度

    >95 %

    免疫原

    Recombinant Human Zinc finger protein 844 protein (1-300AA)

    亚型

    IgG
  • 应用备注

    Optimal working dilution should be determined by the investigator.

    限制

    仅限研究用
  • 状态

    Liquid

    缓冲液

    Preservative: 0.03 % Proclin 300
    Constituents: 50 % Glycerol, 0.01M PBS, PH 7.4

    储存液

    ProClin

    注意事项

    This product contains ProClin: a POISONOUS AND HAZARDOUS SUBSTANCE which should be handled by trained staff only.

    储存条件

    -20 °C,-80 °C

    储存方法

    Upon receipt, store at -20°C or -80°C. Avoid repeated freeze.
  • 抗原

    ZNF844 (Zinc Finger Protein 844 (ZNF844))

    别名

    ZNF844

    背景

    Background: May be involved in transcriptional regulation.

    Aliases: ZNF844 antibody, Zinc finger protein 844 antibody

    UniProt

    Q08AG5
You are here: