电话:
+86 (0512) 65829739
传真:
+86 (010) 6788 5057
电子邮件:
orders@antibodies-online.cn

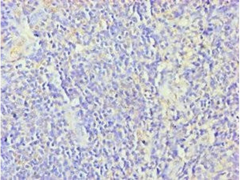
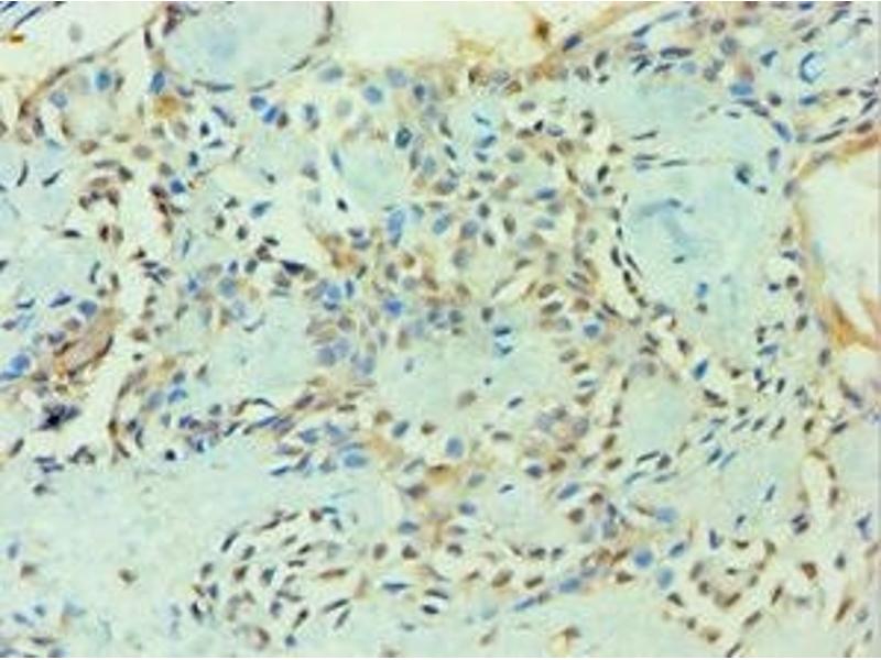
ZNF346 抗体 (AA 1-294)

The 兔 多克隆 anti-ZNF346 antibody is suitable to detect ZNF346 in samples from 人. It has been validated for ELISA, IHC 和 IP.
产品编号 ABIN7176252
发货至: 中国
Contact our Customer Service for availability and price in your country. Contact Info

Our Local Distributor

中国
北京 101111
No. 88 KeChuang 6th Street
Beijing Economic Technological Development Area
Room 801-803
4A Biotech Co.,Ltd.
Tel +86 (0512) 65829739 传真 +86 (010) 6788 5057

Quick Overview for ZNF346 抗体 (AA 1-294) (ABIN7176252)

抗原

See all ZNF346 抗体
ZNF346 (Zinc Finger Protein 346 (ZNF346))

适用

  • 34
  • 17
  • 6
  • 1

宿主

  • 45
  • 4

克隆类型

  • 48
  • 1
多克隆

标记

  • 21
  • 3
  • 3
  • 3
  • 1
  • 1
  • 1
  • 1
  • 1
  • 1
  • 1
  • 1
  • 1
  • 1
  • 1
  • 1
  • 1
  • 1
  • 1
  • 1
  • 1
  • 1
  • 1
This ZNF346 antibody is un-conjugated

应用范围

  • 25
  • 18
  • 13
  • 13
  • 6
  • 5
  • 4
  • 3
  • 3
  • 2
  • 1
  • 1
  • 1
ELISA, Immunohistochemistry (IHC), Immunoprecipitation (IP)
  • 抗原表位

    • 15
    • 8
    • 7
    • 3
    • 2
    • 2
    • 1
    • 1
    • 1
    • 1
    • 1
    • 1
    AA 1-294

    原理

    ZNF346 Antibody

    纯化方法

    Antigen Affinity Purified

    免疫原

    Recombinant Human Zinc finger protein 346 protein (1-294AA)

    亚型

    IgG
  • 应用备注

    Optimal working dilution should be determined by the investigator.

    限制

    仅限研究用
  • 状态

    Liquid

    缓冲液

    PBS with 0.02 % sodium azide, 50 % glycerol, pH 7.3.

    储存液

    Sodium azide

    注意事项

    This product contains Sodium azide: a POISONOUS AND HAZARDOUS SUBSTANCE which should be handled by trained staff only.

    储存条件

    -20 °C,-80 °C

    储存方法

    Upon receipt, store at -20°C or -80°C. Avoid repeated freeze.
  • 抗原

    ZNF346 (Zinc Finger Protein 346 (ZNF346))

    别名

    ZNF346

    背景

    Background: Binds with low affinity to dsDNA and ssRNA, and with high affinity to dsRNA, with no detectable sequence specificity.

    Aliases: DKFZp547M223 antibody, Double stranded RNA binding zinc finger protein antibody, Double stranded RNA binding zinc finger protein JAZ antibody, JAZ antibody, Just another zinc finger protein antibody, Zfp346 antibody, Zinc finger protein 346 antibody, ZN346_HUMAN antibody, Znf346 antibody

    UniProt

    Q9UL40
You are here: