电话:
+86 (0512) 65829739
传真:
+86 (010) 6788 5057
电子邮件:
orders@antibodies-online.cn

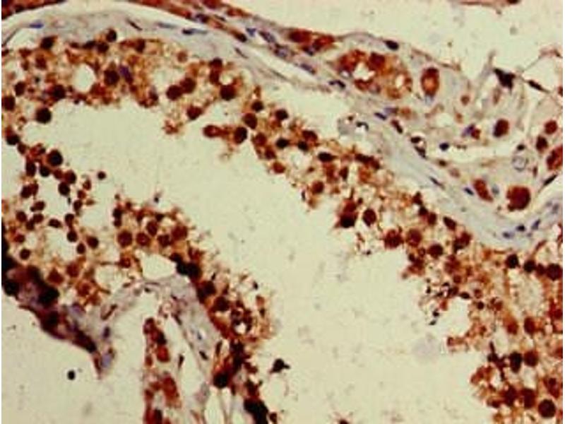
ZNF331 抗体 (AA 179-442)

The 兔 多克隆 anti-ZNF331 antibody is suitable to detect ZNF331 in samples from 人. It has been validated for ELISA, IHC 和 IF.
产品编号 ABIN7176240
发货至: 中国
Contact our Customer Service for availability and price in your country. Contact Info

Our Local Distributor

中国
北京 101111
No. 88 KeChuang 6th Street
Beijing Economic Technological Development Area
Room 801-803
4A Biotech Co.,Ltd.
Tel +86 (0512) 65829739 传真 +86 (010) 6788 5057

Quick Overview for ZNF331 抗体 (AA 179-442) (ABIN7176240)

抗原

See all ZNF331 抗体
ZNF331 (Zinc Finger Protein 331 (ZNF331))

适用

  • 21
  • 2
  • 1

宿主

  • 20
  • 2

克隆类型

  • 21
多克隆

标记

  • 13
  • 3
  • 2
  • 2
  • 1
  • 1
This ZNF331 antibody is un-conjugated

应用范围

  • 17
  • 13
  • 3
  • 2
  • 1
  • 1
ELISA, Immunohistochemistry (IHC), Immunofluorescence (IF)
  • 抗原表位

    • 8
    • 5
    • 2
    • 2
    • 1
    • 1
    • 1
    • 1
    AA 179-442

    原理

    ZNF331 Antibody

    纯化方法

    Protein G purified

    纯度

    >95 %

    免疫原

    Recombinant Human Zinc finger protein 331 protein (179-442AA)

    亚型

    IgG
  • 应用备注

    Optimal working dilution should be determined by the investigator.

    限制

    仅限研究用
  • 状态

    Liquid

    缓冲液

    Preservative: 0.03 % Proclin 300
    Constituents: 50 % Glycerol, 0.01M PBS, pH 7.4

    储存液

    ProClin

    注意事项

    This product contains ProClin: a POISONOUS AND HAZARDOUS SUBSTANCE which should be handled by trained staff only.

    储存条件

    -20 °C,-80 °C

    储存方法

    Upon receipt, store at -20°C or -80°C. Avoid repeated freeze.
  • 抗原

    ZNF331 (Zinc Finger Protein 331 (ZNF331))

    别名

    ZNF331

    背景

    Background: May be involved in transcriptional regulation. May play a role in spermatogenesis.

    Aliases: C2H2 like zinc finger protein antibody, C2H2 like zinc finger protein rearranged in thyroid adenomas antibody, C2H2-like zinc finger protein rearranged in thyroid adenomas antibody, DKFZp686L0787 antibody, KRAB zinc finger protein antibody, OTTHUMP00000223038 antibody, OTTHUMP00000223039 antibody, OTTHUMP00000223040 antibody, OTTHUMP00000223041 antibody, OTTHUMP00000223042 antibody, OTTHUMP00000223043 antibody, OTTHUMP00000223045 antibody, OTTHUMP00000223046 antibody, OTTHUMP00000223047 antibody, OTTHUMP00000223048 antibody, OTTHUMP00000223052 antibody, OTTHUMP00000223053 antibody, OTTHUMP00000223054 antibody, RITA antibody, Zinc finger protein 331 antibody, Zinc finger protein 361 antibody, Zinc finger protein 463 antibody, ZN331_HUMAN antibody, ZNF331 antibody, ZNF361 antibody, ZNF463 antibody

    UniProt

    Q9NQX6
You are here: