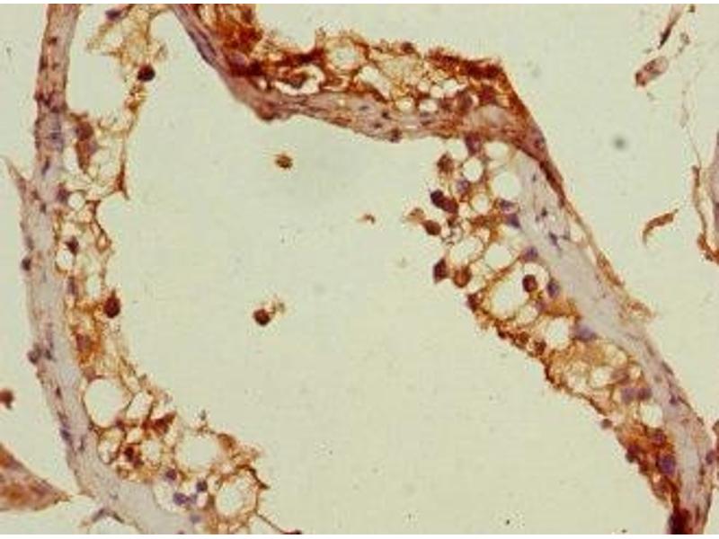
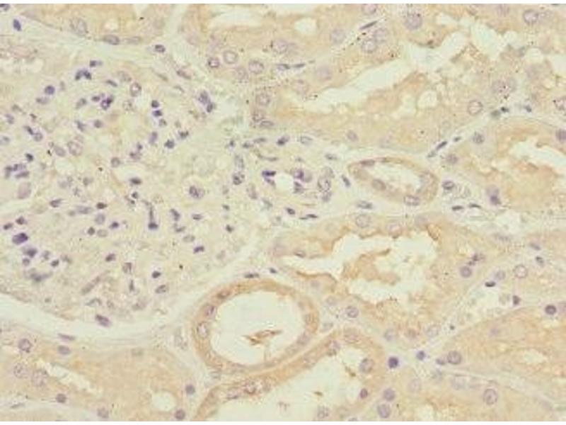
RPGRIP1 抗体 (AA 400-580)
Our Local Distributor
北京 101111
Quick Overview for RPGRIP1 抗体 (AA 400-580) (ABIN7175891)
抗原
See all RPGRIP1 抗体适用
宿主
克隆类型
标记
应用范围
-
-
抗原表位
- AA 400-580
-
原理
- RPGRIP1 Antibody
-
纯化方法
- Antigen Affinity Purified
-
免疫原
- Recombinant Human X-linked retinitis pigmentosa GTPase regulator-interacting protein 1 protein (400-580AA)
-
亚型
- IgG
-
-
-
-
应用备注
- Optimal working dilution should be determined by the investigator.
-
限制
- 仅限研究用
-
-
-
状态
- Liquid
-
缓冲液
- PBS with 0.02 % sodium azide, 50 % glycerol, pH 7.3.
-
储存液
- Sodium azide
-
注意事项
- This product contains Sodium azide: a POISONOUS AND HAZARDOUS SUBSTANCE which should be handled by trained staff only.
-
储存条件
- -20 °C,-80 °C
-
储存方法
- Upon receipt, store at -20°C or -80°C. Avoid repeated freeze.
-
-
- RPGRIP1 (Retinitis Pigmentosa GTPase Regulator Interacting Protein 1 (RPGRIP1))
-
别名
- RPGRIP1
-
背景
-
Background: May function as scaffolding protein. Required for normal location of RPGR at the connecting cilium of photoreceptor cells. Required for normal disk morphogenesis and disk organization in the outer segment of photoreceptor cells and for survival of photoreceptor cells.
Aliases: RPGRIP1 antibody, X-linked retinitis pigmentosa GTPase regulator-interacting protein 1 antibody, RPGR-interacting protein 1 antibody
-
UniProt
- Q96KN7
抗原
-