电话:
+86 (0512) 65829739
传真:
+86 (010) 6788 5057
电子邮件:
orders@antibodies-online.cn

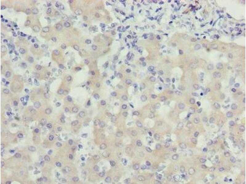
WDR91 抗体 (AA 1-747)

The 兔 多克隆 anti-WDR91 antibody (ABIN7175806) specifically detects WDR91 in ELISA 和 IHC. The antibody is reactive with 人 samples.
产品编号 ABIN7175806
发货至: 中国
Contact our Customer Service for availability and price in your country. Contact Info

Our Local Distributor

中国
北京 101111
No. 88 KeChuang 6th Street
Beijing Economic Technological Development Area
Room 801-803
4A Biotech Co.,Ltd.
Tel +86 (0512) 65829739 传真 +86 (010) 6788 5057

Quick Overview for WDR91 抗体 (AA 1-747) (ABIN7175806)

抗原

WDR91 (WD Repeat Domain 91 (WDR91))

适用

  • 18
  • 18
  • 3
  • 1
  • 1
  • 1
  • 1
  • 1
  • 1

宿主

  • 33

克隆类型

  • 33
多克隆

标记

  • 9
  • 3
  • 2
  • 2
  • 1
  • 1
  • 1
  • 1
  • 1
  • 1
  • 1
  • 1
  • 1
  • 1
  • 1
  • 1
  • 1
  • 1
  • 1
  • 1
  • 1
This WDR91 antibody is un-conjugated

应用范围

  • 13
  • 13
  • 8
  • 6
  • 5
  • 4
  • 4
  • 3
  • 3
  • 2
  • 2
ELISA, Immunohistochemistry (IHC)
You are here: