电话:
+86 (0512) 65829739
传真:
+86 (010) 6788 5057
电子邮件:
orders@antibodies-online.cn

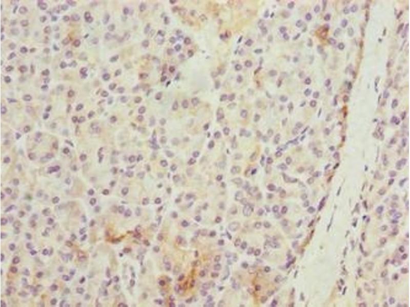
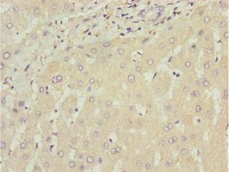
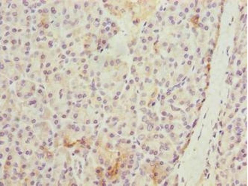
WDR74 抗体 (AA 111-366)

The 兔 多克隆 anti-WDR74 antibody (ABIN7175794) specifically detects WDR74 in WB, ELISA 和 IHC. The antibody is reactive with 人 samples.
产品编号 ABIN7175794
发货至: 中国
Contact our Customer Service for availability and price in your country. Contact Info

Our Local Distributor

中国
北京 101111
No. 88 KeChuang 6th Street
Beijing Economic Technological Development Area
Room 801-803
4A Biotech Co.,Ltd.
Tel +86 (0512) 65829739 传真 +86 (010) 6788 5057

Quick Overview for WDR74 抗体 (AA 111-366) (ABIN7175794)

抗原

WDR74 (WD Repeat Domain 74 (WDR74))

适用

  • 27
  • 13
  • 8
  • 3
  • 3
  • 2
  • 1
  • 1
  • 1

宿主

  • 24
  • 4

克隆类型

  • 26
  • 2
多克隆

标记

  • 17
  • 2
  • 2
  • 1
  • 1
  • 1
  • 1
  • 1
  • 1
  • 1
This WDR74 antibody is un-conjugated

应用范围

  • 17
  • 7
  • 4
  • 2
  • 2
  • 2
Western Blotting (WB), ELISA, Immunohistochemistry (IHC)
  • 抗原表位

    • 5
    • 4
    • 3
    • 3
    • 2
    • 1
    • 1
    AA 111-366

    原理

    WDR74 Antibody

    纯化方法

    Antigen Affinity Purified

    免疫原

    Recombinant Human WD repeat-containing protein 74 protein (111-366AA)

    亚型

    IgG
  • 应用备注

    Optimal working dilution should be determined by the investigator.

    限制

    仅限研究用
  • 状态

    Liquid

    缓冲液

    Preservative: 0.03 % Proclin 300
    Constituents: 50 % Glycerol, 0.01M PBS, PH 7.4

    储存液

    ProClin

    注意事项

    This product contains ProClin: a POISONOUS AND HAZARDOUS SUBSTANCE which should be handled by trained staff only.

    储存条件

    -20 °C,-80 °C

    储存方法

    Upon receipt, store at -20°C or -80°C. Avoid repeated freeze.
  • 抗原

    WDR74 (WD Repeat Domain 74 (WDR74))

    别名

    WDR74

    背景

    Background: Regulatory protein of the MTREX-exosome complex involved in the synthesis of the 60S ribosomal subunit (PubMed:26456651). Participates in an early cleavage of the pre-rRNA processing pathway in cooperation with NVL (PubMed:29107693). Required for blastocyst formation, is necessary for RNA transcription, processing and/or stability during preimplantation development (By similarity).

    Aliases: WDR74 antibody, NSA1 antibody, WD repeat-containing protein 74 antibody, NOP seven-associated protein 1 antibody

    UniProt

    Q6RFH5
You are here: