电话:
+86 (0512) 65829739
传真:
+86 (010) 6788 5057
电子邮件:
orders@antibodies-online.cn

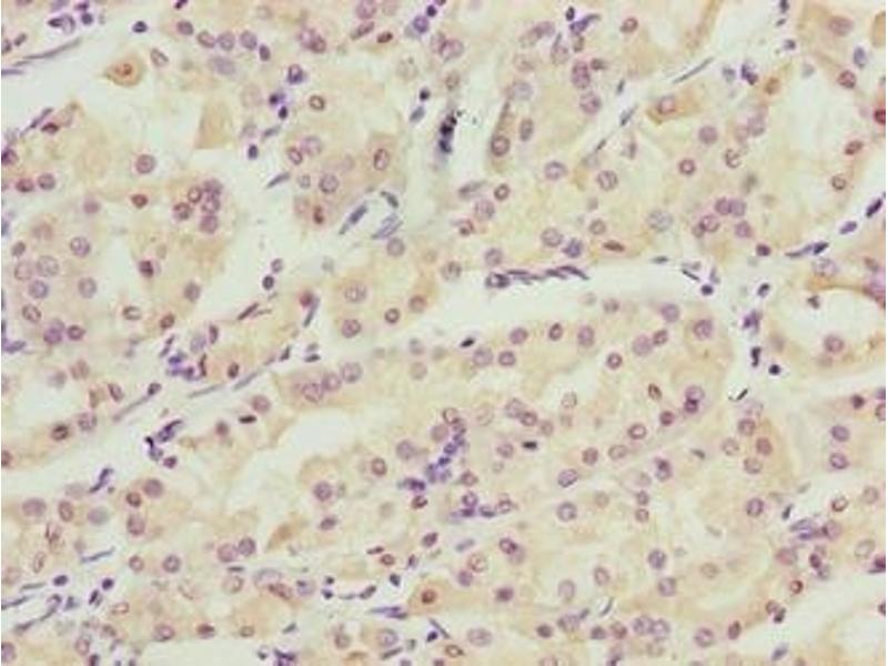
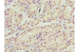
WDR34 抗体 (AA 1-210)

This 兔 多克隆 antibody specifically detects WDR34 in ELISA, WB 和 IHC. It exhibits reactivity toward 人.
产品编号 ABIN7175738
发货至: 中国
Contact our Customer Service for availability and price in your country. Contact Info

Our Local Distributor

中国
北京 101111
No. 88 KeChuang 6th Street
Beijing Economic Technological Development Area
Room 801-803
4A Biotech Co.,Ltd.
Tel +86 (0512) 65829739 传真 +86 (010) 6788 5057

Quick Overview for WDR34 抗体 (AA 1-210) (ABIN7175738)

抗原

See all WDR34 抗体
WDR34 (WD Repeat Domain 34 (WDR34))

适用

  • 20
  • 5
  • 4
  • 2
  • 2
  • 2
  • 2
  • 2

宿主

  • 18
  • 2

克隆类型

  • 20
多克隆

标记

  • 11
  • 3
  • 2
  • 2
  • 1
  • 1
This WDR34 antibody is un-conjugated

应用范围

ELISA, Western Blotting (WB), Immunohistochemistry (IHC)
  • 抗原表位

    • 7
    • 4
    • 2
    • 2
    • 2
    • 1
    • 1
    • 1
    • 1
    AA 1-210

    原理

    WDR34 Antibody

    纯化方法

    Antigen Affinity Purified

    免疫原

    Recombinant Human WD repeat-containing protein 34 protein (1-210AA)

    亚型

    IgG
  • 应用备注

    Optimal working dilution should be determined by the investigator.

    限制

    仅限研究用
  • 状态

    Liquid

    缓冲液

    Preservative: 0.03 % Proclin 300
    Constituents: 50 % Glycerol, 0.01M PBS, PH 7.4

    储存液

    ProClin

    注意事项

    This product contains ProClin: a POISONOUS AND HAZARDOUS SUBSTANCE which should be handled by trained staff only.

    储存条件

    -20 °C,-80 °C

    储存方法

    Upon receipt, store at -20°C or -80°C. Avoid repeated freeze.
  • 抗原

    WDR34 (WD Repeat Domain 34 (WDR34))

    别名

    WDR34

    背景

    Background: Critical for ciliary functions, essential to normal development and survival, most probably as a previously unrecognized component of the mammalian dynein-motor-based intraflagellar transport (IFT) machinery. Acts as a negative regulator of the Toll-like and IL-1R receptor signaling pathways. Inhibits the MAP3K7-induced NF-kappa-B activation pathway. Inhibits MAP3K7 phosphorylation at \\\'Thr-184\\\' and \\\'Thr-187\\\' upon Il-1 beta stimulation.

    Aliases: bA216B9.3 antibody, DIC5 antibody, MGC20486 antibody, OTTHUMP00000022282 antibody, RP11 216B9.5 antibody, WD repeat containing protein 34 antibody, WD repeat domain 34 antibody, WD repeat-containing protein 34 antibody, WDR 34 antibody, Wdr34 antibody, WDR34_HUMAN antibody

    UniProt

    Q96EX3
You are here: