电话:
+86 (0512) 65829739
传真:
+86 (010) 6788 5057
电子邮件:
orders@antibodies-online.cn

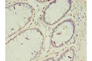
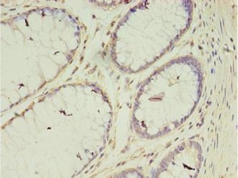
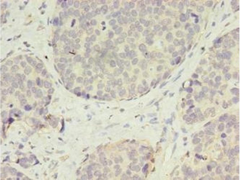
Vasohibin 2 抗体 (AA 1-156)

The 兔 多克隆 anti-Vasohibin 2 antibody is suitable to detect Vasohibin 2 in samples from 人. It has been validated for ELISA 和 IHC.
产品编号 ABIN7175400
发货至: 中国
Contact our Customer Service for availability and price in your country. Contact Info

Our Local Distributor

中国
北京 101111
No. 88 KeChuang 6th Street
Beijing Economic Technological Development Area
Room 801-803
4A Biotech Co.,Ltd.
Tel +86 (0512) 65829739 传真 +86 (010) 6788 5057

Quick Overview for Vasohibin 2 抗体 (AA 1-156) (ABIN7175400)

抗原

See all Vasohibin 2 (VASH2) 抗体
Vasohibin 2 (VASH2)

适用

  • 31
  • 12
  • 1

宿主

  • 30
  • 1

克隆类型

  • 30
  • 1
多克隆

标记

  • 11
  • 5
  • 3
  • 3
  • 2
  • 1
  • 1
  • 1
  • 1
  • 1
  • 1
  • 1
This Vasohibin 2 antibody is un-conjugated

应用范围

  • 19
  • 16
  • 11
  • 2
  • 1
  • 1
ELISA, Immunohistochemistry (IHC)
  • 抗原表位

    • 8
    • 7
    • 4
    • 4
    • 2
    AA 1-156

    原理

    VASH2 Antibody

    纯化方法

    Protein G purified

    纯度

    >95 %

    免疫原

    Recombinant Human Vasohibin-2 protein (1-156AA)

    亚型

    IgG
  • 应用备注

    Optimal working dilution should be determined by the investigator.

    限制

    仅限研究用
  • 状态

    Liquid

    缓冲液

    Preservative: 0.03 % Proclin 300
    Constituents: 50 % Glycerol, 0.01M PBS, PH 7.4

    储存液

    ProClin

    注意事项

    This product contains ProClin: a POISONOUS AND HAZARDOUS SUBSTANCE which should be handled by trained staff only.

    储存条件

    -20 °C,-80 °C

    储存方法

    Upon receipt, store at -20°C or -80°C. Avoid repeated freeze.
  • 抗原

    Vasohibin 2 (VASH2)

    别名

    VASH2

    背景

    Background: Angiogenesis inhibitor. Inhibits network formation by endothelial cells.

    Aliases: FLJ12505 antibody, OTTHUMP00000035013 antibody, OTTHUMP00000035017 antibody, OTTHUMP00000228345 antibody, OTTHUMP00000228346 antibody, OTTHUMP00000228347 antibody, RP11-275G3.1 antibody, VASH2 antibody, VASH2_HUMAN antibody, Vasohibin-2 antibody, Vasohibin-like protein antibody

    UniProt

    Q86V25
You are here: