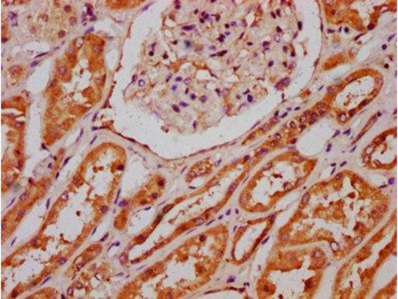
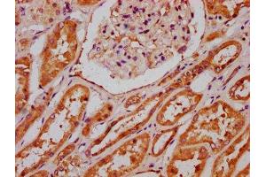
Valyl-tRNA Synthetase 2, Mitochondrial (VARS2) (AA 830-981) 抗体
Our Local Distributor
北京 101111
Quick Overview for Valyl-tRNA Synthetase 2, Mitochondrial (VARS2) (AA 830-981) 抗体 (ABIN7175349)
抗原
See all Valyl-tRNA Synthetase 2, Mitochondrial (VARS2) 抗体适用
宿主
克隆类型
标记
应用范围
-
-
抗原表位
- AA 830-981
-
原理
- VARS2 Antibody
-
纯化方法
- Protein G purified
-
纯度
- >95 %
-
免疫原
- Recombinant Human Valine--tRNA ligase, mitochondrial protein (830-981AA)
-
亚型
- IgG
-
-
-
-
应用备注
- Optimal working dilution should be determined by the investigator.
-
限制
- 仅限研究用
-
-
-
状态
- Liquid
-
缓冲液
-
Preservative: 0.03 % Proclin 300
Constituents: 50 % Glycerol, 0.01M PBS, pH 7.4 -
储存液
- ProClin
-
注意事项
- This product contains ProClin: a POISONOUS AND HAZARDOUS SUBSTANCE which should be handled by trained staff only.
-
储存条件
- -20 °C,-80 °C
-
储存方法
- Upon receipt, store at -20°C or -80°C. Avoid repeated freeze.
-
-
- Valyl-tRNA Synthetase 2, Mitochondrial (VARS2)
-
别名
- VARS2
-
背景
-
Background: valine-tRNA ligase activity, valyl-tRNA aminoacylation
Aliases: COXPD20 antibody, mitochondrial antibody, SYVM_HUMAN antibody, Valine--tRNA ligase antibody, ValRS antibody, Valyl tRNA synthetase 2 mitochondrial antibody, Valyl-tRNA synthetase antibody, Valyl-tRNA synthetase-like antibody, Vars2 antibody, VARS2L antibody, VARSL antibody
-
UniProt
- Q5ST30
抗原
-