电话:
+86 (0512) 65829739
传真:
+86 (010) 6788 5057
电子邮件:
orders@antibodies-online.cn

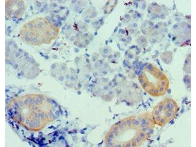
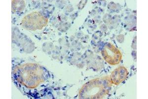
Urotensin 2 抗体 (AA 35-124)

The 兔 多克隆 anti-Urotensin 2 antibody is suitable to detect Urotensin 2 in samples from 人. It has been validated for ELISA 和 IHC.
产品编号 ABIN7175148
发货至: 中国
Contact our Customer Service for availability and price in your country. Contact Info

Our Local Distributor

中国
北京 101111
No. 88 KeChuang 6th Street
Beijing Economic Technological Development Area
Room 801-803
4A Biotech Co.,Ltd.
Tel +86 (0512) 65829739 传真 +86 (010) 6788 5057

Quick Overview for Urotensin 2 抗体 (AA 35-124) (ABIN7175148)

抗原

See all Urotensin 2 (UTS2) 抗体
Urotensin 2 (UTS2)

适用

  • 31
  • 4
  • 3
  • 2
  • 2

宿主

  • 33
  • 2

克隆类型

  • 33
  • 2
多克隆

标记

  • 25
  • 4
  • 1
  • 1
  • 1
  • 1
  • 1
  • 1
This Urotensin 2 antibody is un-conjugated

应用范围

  • 18
  • 15
  • 12
  • 3
  • 3
  • 2
  • 2
  • 2
  • 1
  • 1
  • 1
  • 1
ELISA, Immunohistochemistry (IHC)
  • 抗原表位

    • 2
    • 2
    • 2
    • 2
    • 2
    • 1
    • 1
    • 1
    • 1
    • 1
    • 1
    • 1
    • 1
    AA 35-124

    原理

    UTS2 Antibody

    纯化方法

    Antigen Affinity Purified

    免疫原

    Recombinant Human Urotensin-2 protein (35-124AA)

    亚型

    IgG
  • 应用备注

    Optimal working dilution should be determined by the investigator.

    限制

    仅限研究用
  • 状态

    Liquid

    缓冲液

    PBS with 0.02 % sodium azide, 50 % glycerol, pH 7.3.

    储存液

    Sodium azide

    注意事项

    This product contains Sodium azide: a POISONOUS AND HAZARDOUS SUBSTANCE which should be handled by trained staff only.

    储存条件

    -20 °C,-80 °C

    储存方法

    Upon receipt, store at -20°C or -80°C. Avoid repeated freeze.
  • 抗原

    Urotensin 2 (UTS2)

    别名

    UTS2

    背景

    Background: Highly potent vasoconstrictor.

    Aliases: PRO1068 antibody, U-II antibody, UCN2 antibody, UII antibody, Urotensin 2 preproprotein isoform a antibody, Urotensin 2 preproprotein isoform b antibody, Urotensin II antibody, Urotensin-2 antibody, UTS2 antibody, UTS2_HUMAN antibody, UTSII antibody

    UniProt

    O95399

    途径

    Negative Regulation of Hormone Secretion
You are here: