电话:
+86 (0512) 65829739
传真:
+86 (010) 6788 5057
电子邮件:
orders@antibodies-online.cn

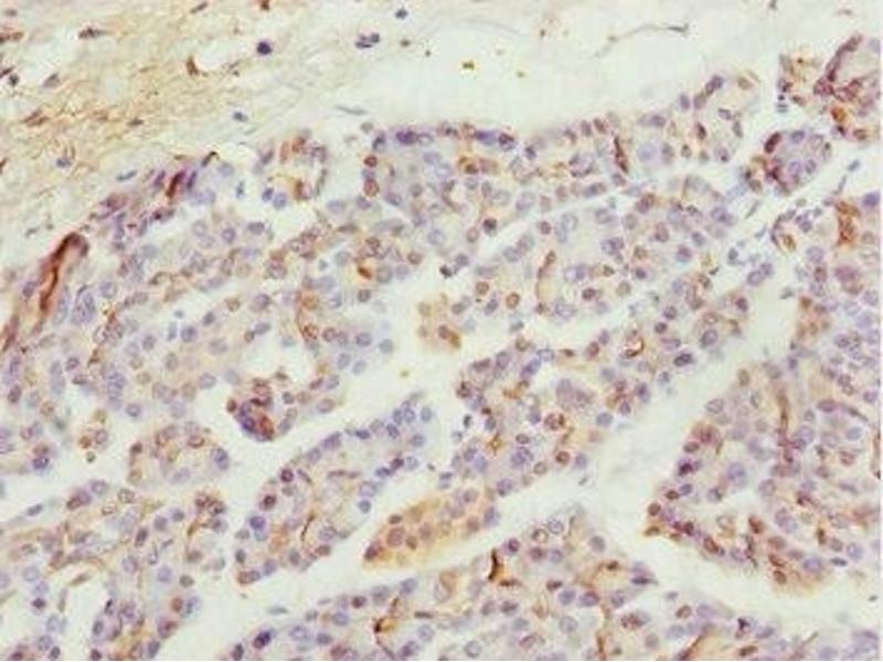
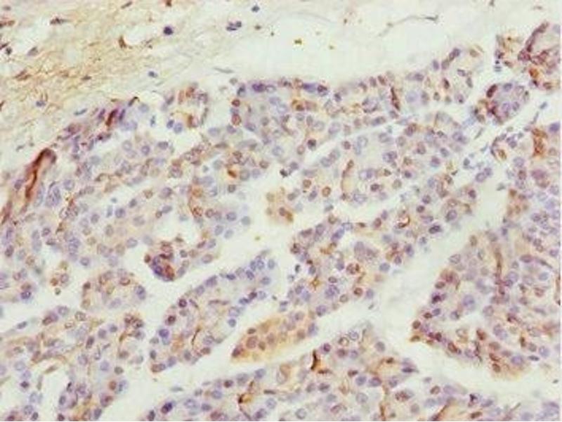
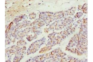
MYO5C 抗体 (AA 270-420)

The 兔 多克隆 anti-MYO5C antibody is suitable to detect MYO5C in samples from 人. It has been validated for ELISA 和 IHC.
产品编号 ABIN7174959
发货至: 中国
Contact our Customer Service for availability and price in your country. Contact Info

Our Local Distributor

中国
北京 101111
No. 88 KeChuang 6th Street
Beijing Economic Technological Development Area
Room 801-803
4A Biotech Co.,Ltd.
Tel +86 (0512) 65829739 传真 +86 (010) 6788 5057

Quick Overview for MYO5C 抗体 (AA 270-420) (ABIN7174959)

抗原

MYO5C

适用

  • 8
  • 2
  • 2

宿主

  • 5
  • 3

克隆类型

  • 8
多克隆

标记

  • 8
This MYO5C antibody is un-conjugated

应用范围

  • 8
  • 3
  • 1
  • 1
ELISA, Immunohistochemistry (IHC)
  • 抗原表位

    • 2
    • 2
    • 1
    AA 270-420

    原理

    MYO5C Antibody

    纯化方法

    Antigen Affinity Purified

    免疫原

    Recombinant Human Unconventional myosin-Vc protein (270-420AA)

    亚型

    IgG
  • 应用备注

    Optimal working dilution should be determined by the investigator.

    限制

    仅限研究用
  • 状态

    Liquid

    缓冲液

    PBS with 0.02 % sodium azide, 50 % glycerol, pH 7.3.

    储存液

    Sodium azide

    注意事项

    This product contains Sodium azide: a POISONOUS AND HAZARDOUS SUBSTANCE which should be handled by trained staff only.

    储存条件

    -20 °C,-80 °C

    储存方法

    Upon receipt, store at -20°C or -80°C. Avoid repeated freeze.
  • 抗原

    MYO5C

    背景

    Background: May be involved in transferrin trafficking. Likely to power actin-based membrane trafficking in many physiologically crucial tissues.

    Aliases: MGC74969 antibody, MYO5C antibody, MYO5C_HUMAN antibody, Myosin 5C antibody, myosin VC antibody, Unconventional myosin-Vc antibody

    UniProt

    Q9NQX4
You are here: