电话:
+86 (0512) 65829739
传真:
+86 (010) 6788 5057
电子邮件:
orders@antibodies-online.cn

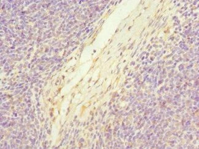
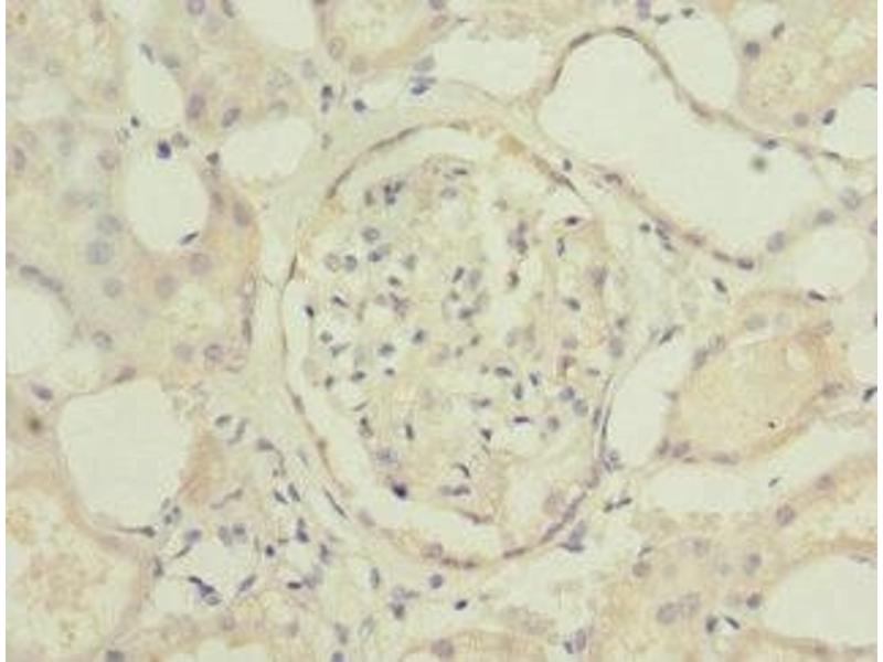
C19orf48 抗体 (AA 1-117)

The 兔 多克隆 anti-C19orf48 antibody (ABIN7174771) specifically detects C19orf48 in ELISA, IHC 和 IF. The antibody is reactive with 人 samples.
产品编号 ABIN7174771
发货至: 中国
Contact our Customer Service for availability and price in your country. Contact Info

Our Local Distributor

中国
北京 101111
No. 88 KeChuang 6th Street
Beijing Economic Technological Development Area
Room 801-803
4A Biotech Co.,Ltd.
Tel +86 (0512) 65829739 传真 +86 (010) 6788 5057

Quick Overview for C19orf48 抗体 (AA 1-117) (ABIN7174771)

抗原

C19orf48 (C19ORF48) (Chromosome 19 Open Reading Frame 48 (C19ORF48))

适用

  • 1
  • 1
  • 1

宿主

  • 1

克隆类型

  • 1
多克隆

标记

  • 1
This C19orf48 antibody is un-conjugated

应用范围

ELISA, Immunohistochemistry (IHC), Immunofluorescence (IF)
  • 抗原表位

    AA 1-117

    原理

    C19orf48 Antibody

    纯化方法

    Antigen Affinity Purified

    免疫原

    Recombinant Human Uncharacterized protein C19orf48 protein (1-117AA)

    亚型

    IgG
  • 应用备注

    Optimal working dilution should be determined by the investigator.

    限制

    仅限研究用
  • 状态

    Liquid

    缓冲液

    PBS with 0.02 % sodium azide, 50 % glycerol, pH 7.3.

    储存液

    Sodium azide

    注意事项

    This product contains Sodium azide: a POISONOUS AND HAZARDOUS SUBSTANCE which should be handled by trained staff only.

    储存条件

    -20 °C,-80 °C

    储存方法

    Upon receipt, store at -20°C or -80°C. Avoid repeated freeze.
  • 抗原

    C19orf48 (C19ORF48) (Chromosome 19 Open Reading Frame 48 (C19ORF48))

    别名

    C19orf48

    背景

    C19orf48Uncharacterized protein C19orf48 antibody, Multidrug resistance-related protein antibody

    UniProt

    Q6RUI8
You are here: