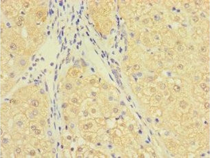
C10ORF111 抗体 (AA 1-114)
Our Local Distributor
北京 101111
Quick Overview for C10ORF111 抗体 (AA 1-114) (ABIN7174695)
抗原
适用
宿主
克隆类型
标记
应用范围
-
-
抗原表位
- AA 1-114
-
原理
- C10orf111 Antibody
-
纯化方法
- Protein G purified
-
纯度
- >95 %
-
免疫原
- Recombinant Human Uncharacterized protein C10orf111 protein (1-114AA)
-
亚型
- IgG
-
-
-
-
应用备注
- Optimal working dilution should be determined by the investigator.
-
限制
- 仅限研究用
-
-
-
状态
- Liquid
-
缓冲液
-
Preservative: 0.03 % Proclin 300
Constituents: 50 % Glycerol, 0.01M PBS, PH 7.4 -
储存液
- ProClin
-
注意事项
- This product contains ProClin: a POISONOUS AND HAZARDOUS SUBSTANCE which should be handled by trained staff only.
-
储存条件
- -20 °C,-80 °C
-
储存方法
- Upon receipt, store at -20°C or -80°C. Avoid repeated freeze.
-
-
- C10ORF111 (Chromosome 10 Open Reading Frame 111 (C10ORF111))
-
别名
- C10orf111
-
背景
- C10orf111Uncharacterized protein C10orf111 antibody
-
UniProt
- Q8N326
抗原
-