电话:
+86 (0512) 65829739
传真:
+86 (010) 6788 5057
电子邮件:
orders@antibodies-online.cn

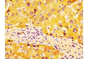
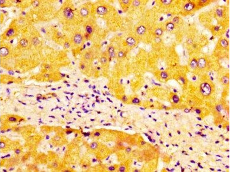
ULBP1 抗体 (AA 26-216)

The 兔 多克隆 anti-ULBP1 antibody (ABIN7174678) specifically detects ULBP1 in ELISA, IHC 和 IF. The antibody is reactive with 人 samples.
产品编号 ABIN7174678
发货至: 中国
Contact our Customer Service for availability and price in your country. Contact Info

Our Local Distributor

中国
北京 101111
No. 88 KeChuang 6th Street
Beijing Economic Technological Development Area
Room 801-803
4A Biotech Co.,Ltd.
Tel +86 (0512) 65829739 传真 +86 (010) 6788 5057

Quick Overview for ULBP1 抗体 (AA 26-216) (ABIN7174678)

抗原

See all ULBP1 抗体
ULBP1 (UL16 Binding Protein 1 (ULBP1))

适用

  • 27
  • 5
  • 2

宿主

  • 27
  • 2

克隆类型

  • 24
  • 5
多克隆

标记

  • 19
  • 2
  • 1
  • 1
  • 1
  • 1
  • 1
  • 1
  • 1
  • 1
This ULBP1 antibody is un-conjugated

应用范围

  • 15
  • 11
  • 6
  • 3
  • 1
  • 1
  • 1
ELISA, Immunohistochemistry (IHC), Immunofluorescence (IF)
  • 抗原表位

    • 6
    • 2
    • 1
    • 1
    • 1
    • 1
    • 1
    • 1
    AA 26-216

    原理

    ULBP1 Antibody

    纯化方法

    Protein G purified

    纯度

    >95 %

    免疫原

    Recombinant Human UL16-binding protein 1 protein (26-216AA)

    亚型

    IgG
  • 应用备注

    Optimal working dilution should be determined by the investigator.

    限制

    仅限研究用
  • 状态

    Liquid

    缓冲液

    Preservative: 0.03 % Proclin 300
    Constituents: 50 % Glycerol, 0.01M PBS, pH 7.4

    储存液

    ProClin

    注意事项

    This product contains ProClin: a POISONOUS AND HAZARDOUS SUBSTANCE which should be handled by trained staff only.

    储存条件

    -20 °C,-80 °C

    储存方法

    Upon receipt, store at -20°C or -80°C. Avoid repeated freeze.
  • 抗原

    ULBP1 (UL16 Binding Protein 1 (ULBP1))

    别名

    ULBP1

    背景

    Background: Ligand for the KLRK1/NKG2D receptor, together with at least ULBP2 and ULBP3. ULBPs activate multiple signaling pathways in primary NK cells, resulting in the production of cytokines and chemokines. Binding of ULBPs ligands to KLRK1/NKG2D induces calcium mobilization and activation of the JAK2, STAT5, ERK and PI3K kinase/Akt signal transduction pathway. In CMV infected cells, interacts with soluble CMV glycoprotein UL16. The interaction with UL16 blocked the interaction with the KLRK1/NKG2D receptor, providing a mechanism by which CMV infected cells might escape the immune system. UL16 also causes ULBP1 to be retained in the ER and cis-Golgi apparatus so that it does not reach the cell surface.

    Aliases: Alcan beta antibody, ALCAN-beta antibody, N2DL-1 antibody, N2DL1 antibody, N2DL1_HUMAN antibody, NKG2D ligand 1 antibody, NKG2D ligand 1 precursor antibody, NKG2DL1 antibody, RAET1I antibody, Retinoic acid early transcript 1I antibody, UL16 antibody, UL16 binding protein 1 antibody, UL16-binding protein 1 antibody, ULBP1 antibody

    UniProt

    Q9BZM6

    途径

    Regulation of Leukocyte Mediated Immunity, Positive Regulation of Immune Effector Process
You are here: