电话:
+86 (0512) 65829739
传真:
+86 (010) 6788 5057
电子邮件:
orders@antibodies-online.cn

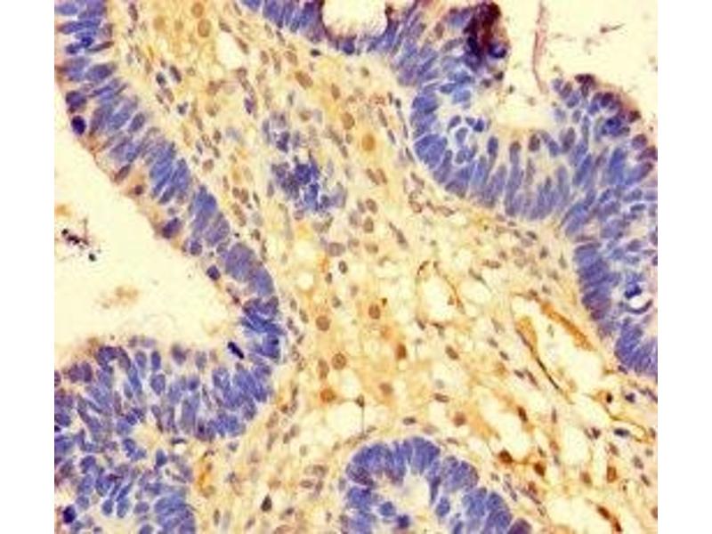
OTUB1 抗体 (AA 2-201)

The 兔 多克隆 anti-OTUB1 antibody (ABIN7174393) specifically detects OTUB1 in WB, IHC 和 ELISA. The antibody is reactive with 人 samples.
产品编号 ABIN7174393
发货至: 中国
Contact our Customer Service for availability and price in your country. Contact Info

Our Local Distributor

中国
北京 101111
No. 88 KeChuang 6th Street
Beijing Economic Technological Development Area
Room 801-803
4A Biotech Co.,Ltd.
Tel +86 (0512) 65829739 传真 +86 (010) 6788 5057

Quick Overview for OTUB1 抗体 (AA 2-201) (ABIN7174393)

抗原

See all OTUB1 抗体
OTUB1 (OTU Domain, Ubiquitin Aldehyde Binding 1 (OTUB1))

适用

  • 74
  • 42
  • 29
  • 6
  • 5
  • 5
  • 5
  • 4
  • 3
  • 2

宿主

  • 77
  • 10
  • 1

克隆类型

  • 68
  • 20
多克隆

标记

  • 41
  • 12
  • 8
  • 2
  • 2
  • 2
  • 2
  • 2
  • 2
  • 2
  • 1
  • 1
  • 1
  • 1
  • 1
  • 1
  • 1
  • 1
  • 1
  • 1
  • 1
  • 1
  • 1
This OTUB1 antibody is un-conjugated

应用范围

  • 76
  • 23
  • 18
  • 16
  • 14
  • 13
  • 13
  • 9
  • 6
  • 6
  • 3
  • 3
  • 1
Western Blotting (WB), Immunohistochemistry (IHC), ELISA
  • 抗原表位

    • 15
    • 11
    • 4
    • 2
    • 2
    • 2
    • 1
    • 1
    • 1
    • 1
    • 1
    • 1
    • 1
    • 1
    • 1
    • 1
    • 1
    • 1
    • 1
    • 1
    • 1
    AA 2-201

    原理

    OTUB1 Antibody

    纯化方法

    Protein G purified

    纯度

    >95 %

    免疫原

    Recombinant Human Ubiquitin thioesterase OTUB1 protein (2-201AA)

    亚型

    IgG
  • 应用备注

    Optimal working dilution should be determined by the investigator.

    限制

    仅限研究用
  • 状态

    Liquid

    缓冲液

    Preservative: 0.03 % Proclin 300
    Constituents: 50 % Glycerol, 0.01M PBS, PH 7.4

    储存液

    ProClin

    注意事项

    This product contains ProClin: a POISONOUS AND HAZARDOUS SUBSTANCE which should be handled by trained staff only.

    储存条件

    -20 °C,-80 °C

    储存方法

    Upon receipt, store at -20°C or -80°C. Avoid repeated freeze.
  • 抗原

    OTUB1 (OTU Domain, Ubiquitin Aldehyde Binding 1 (OTUB1))

    别名

    OTUB1

    背景

    Background: Hydrolase that can specifically remove \\\'Lys-48\\\'-linked conjugated ubiquitin from proteins and plays an important regulatory role at the level of protein turnover by preventing degradation. Regulator of T-cell anergy, a phenomenon that occurs when T-cells are rendered unresponsive to antigen rechallenge and no longer respond to their cognate antigen. Acts via its interaction with RNF128/GRAIL, a crucial inductor of CD4 T-cell anergy. Isoform 1 destabilizes RNF128, leading to prevent anergy. In contrast, isoform 2 stabilizes RNF128 and promotes anergy. Surprisingly, it regulates RNF128-mediated ubiquitination, but does not deubiquitinate polyubiquitinated RNF128. Deubiquitinates estrogen receptor alpha (ESR1). Mediates deubiquitination of \\\'Lys-48\\\'-linked polyubiquitin chains, but not \\\'Lys-63\\\'-linked polyubiquitin chains. Not able to cleave di-ubiquitin. Also capable of removing NEDD8 from NEDD8 conjugates, but with a much lower preference compared to \\\'Lys-48\\\'-linked ubiquitin. Plays a key non-catalytic role in DNA repair regulation by inhibiting activity of RNF168, an E3 ubiquitin-protein ligase that promotes accumulation of \\\'Lys-63\\\'-linked histone H2A and H2AX at DNA damage sites. Inhibits RNF168 independently of ubiquitin thioesterase activity by binding and inhibiting UBE2N/UBC13, the E2 partner of RNF168, thereby limiting spreading of \\\'Lys-63\\\'-linked histone H2A and H2AX marks. Inhibition occurs by binding to free ubiquitin: free ubiquitin acts as an allosteric regulator that increases affinity for UBE2N/UBC13 and disrupts interaction with UBE2V1. The OTUB1-UBE2N/UBC13-free ubiquitin complex adopts a configuration that mimics a cleaved \\\'Lys48\\\'-linked di-ubiquitin chain.

    Aliases: Deubiquitinating enzyme OTUB1 antibody, hOTU1 antibody, HSPC263 antibody, OTB1 antibody, OTU domain containing ubiquitin aldehyde binding protein 1 antibody, OTU domain, ubiquitin aldehyde binding 1 antibody, OTU domain-containing Ubal-binding protein 1 antibody, OTU domain-containing ubiquitin aldehyde-binding protein 1 antibody, OTU-domain Ubal-binding 1 antibody, OTU1 antibody, Otub1 antibody, OTUB1_HUMAN antibody, Otubain 1 antibody, Otubain-1 antibody, Ubiquitin specific processing protease OTUB1 antibody, Ubiquitin thioesterase OTUB1 antibody, ubiquitin-specific protease otubain 1 antibody, Ubiquitin-specific-processing protease OTUB1 antibody

    UniProt

    Q96FW1
You are here: