电话:
+86 (0512) 65829739
传真:
+86 (010) 6788 5057
电子邮件:
orders@antibodies-online.cn

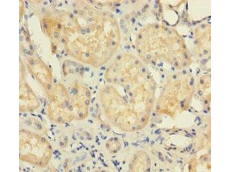
UBD 抗体 (AA 1-165)

This 兔 多克隆 antibody specifically detects UBD in IHC, ELISA 和 IF. It exhibits reactivity toward 人.
产品编号 ABIN7174376
发货至: 中国
Contact our Customer Service for availability and price in your country. Contact Info

Our Local Distributor

中国
北京 101111
No. 88 KeChuang 6th Street
Beijing Economic Technological Development Area
Room 801-803
4A Biotech Co.,Ltd.
Tel +86 (0512) 65829739 传真 +86 (010) 6788 5057

Quick Overview for UBD 抗体 (AA 1-165) (ABIN7174376)

抗原

See all UBD 抗体
UBD (Ubiquitin D (UBD))

适用

  • 61
  • 54
  • 20
  • 2
  • 2
  • 2
  • 1

宿主

  • 69
  • 4

克隆类型

  • 52
  • 21
多克隆

标记

  • 28
  • 5
  • 4
  • 3
  • 3
  • 3
  • 3
  • 3
  • 3
  • 3
  • 1
  • 1
  • 1
  • 1
  • 1
  • 1
  • 1
  • 1
  • 1
  • 1
  • 1
  • 1
  • 1
  • 1
  • 1
This UBD antibody is un-conjugated

应用范围

  • 56
  • 28
  • 26
  • 20
  • 18
  • 5
  • 3
  • 1
  • 1
  • 1
Immunohistochemistry (IHC), ELISA, Immunofluorescence (IF)
  • 抗原表位

    • 9
    • 9
    • 3
    • 3
    • 3
    • 3
    • 2
    • 2
    • 2
    • 1
    • 1
    • 1
    • 1
    AA 1-165

    原理

    UBD Antibody

    纯化方法

    Protein G purified

    纯度

    >95 %

    免疫原

    Recombinant Human Ubiquitin D protein (1-165AA)

    亚型

    IgG
  • 应用备注

    Optimal working dilution should be determined by the investigator.

    限制

    仅限研究用
  • 状态

    Liquid

    缓冲液

    Preservative: 0.03 % Proclin 300
    Constituents: 50 % Glycerol, 0.01M PBS, PH 7.4

    储存液

    ProClin

    注意事项

    This product contains ProClin: a POISONOUS AND HAZARDOUS SUBSTANCE which should be handled by trained staff only.

    储存条件

    -20 °C,-80 °C

    储存方法

    Upon receipt, store at -20°C or -80°C. Avoid repeated freeze.
  • 抗原

    UBD (Ubiquitin D (UBD))

    别名

    UBD

    背景

    Background: Ubiquitin-like protein modifier which can be covalently attached to target protein and subsequently leads to their degradation by the 26S proteasome, in a NUB1L-dependent manner. Probably functions as a survival factor. Conjugation ability activated by UBA6. Promotes the expression of the proteasome subunit beta type-9 (PSMB9/LMP2). Regulates TNF-alpha-induced and LPS-mediated activation of the central mediator of innate immunity NF-kappa-B by promoting TNF-alpha-mediated proteasomal degradation of ubiquitinated-I-kappa-B-alpha. Required for TNF-alpha-induced p65 nuclear translocation in renal tubular epithelial cells (RTECs). May be involved in dendritic cell (DC) maturation, the process by which immature dendritic cells differentiate into fully competent antigen-presenting cells that initiate T-cell responses. Mediates mitotic non-disjunction and chromosome instability, in long-term in vitro culture and cancers, by abbreviating mitotic phase and impairing the kinetochore localization of MAD2L1 during the prometaphase stage of the cell cycle. May be involved in the formation of aggresomes when proteasome is saturated or impaired. Mediates apoptosis in a caspase-dependent manner, especially in renal epithelium and tubular cells during renal diseases such as polycystic kidney disease and Human immunodeficiency virus (HIV)-associated nephropathy (HIVAN).

    Aliases: Diubiquitin antibody, FAT10 antibody, GABBR1 antibody, UBD 3 antibody, Ubd antibody, UBD_HUMAN antibody, Ubiquitin D antibody, Ubiquitin like protein FAT10 antibody, Ubiquitin-like protein FAT10 antibody

    UniProt

    O15205

    途径

    Ubiquitin Proteasome Pathway
You are here: