电话:
+86 (0512) 65829739
传真:
+86 (010) 6788 5057
电子邮件:
orders@antibodies-online.cn

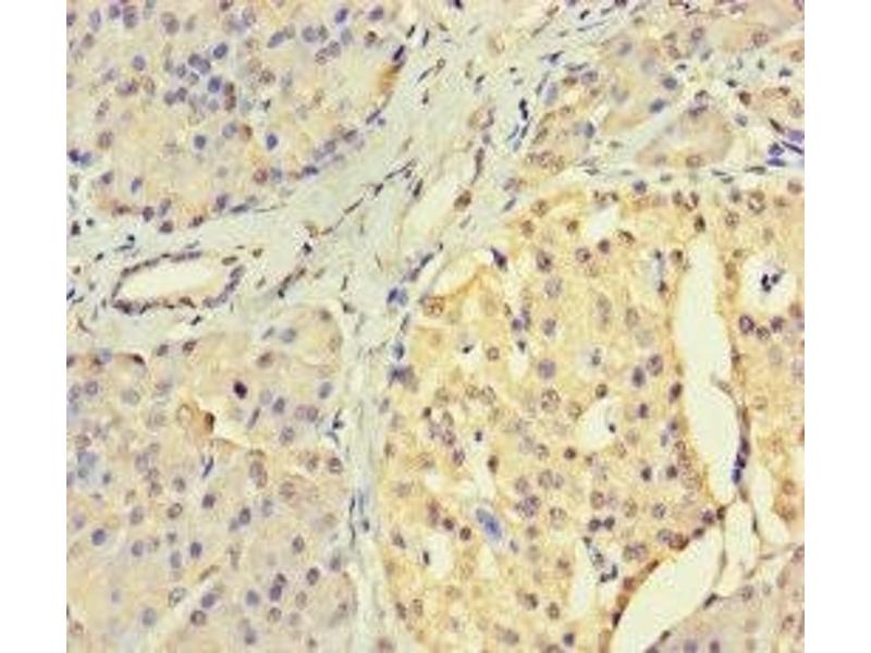
USP3 抗体 (AA 201-500)

This 兔 多克隆 antibody specifically detects USP3 in ELISA 和 IHC. It exhibits reactivity toward 人.
产品编号 ABIN7174304
发货至: 中国
Contact our Customer Service for availability and price in your country. Contact Info

Our Local Distributor

中国
北京 101111
No. 88 KeChuang 6th Street
Beijing Economic Technological Development Area
Room 801-803
4A Biotech Co.,Ltd.
Tel +86 (0512) 65829739 传真 +86 (010) 6788 5057

Quick Overview for USP3 抗体 (AA 201-500) (ABIN7174304)

抗原

See all USP3 抗体
USP3 (Ubiquitin Specific Peptidase 3 (USP3))

适用

  • 69
  • 8
  • 7
  • 5
  • 3
  • 3
  • 3
  • 3
  • 2
  • 2
  • 1
  • 1
  • 1
  • 1

宿主

  • 66
  • 3

克隆类型

  • 68
  • 1
多克隆

标记

  • 31
  • 5
  • 4
  • 4
  • 3
  • 2
  • 1
  • 1
  • 1
  • 1
  • 1
  • 1
  • 1
  • 1
  • 1
  • 1
  • 1
  • 1
  • 1
  • 1
  • 1
  • 1
  • 1
  • 1
  • 1
  • 1
This USP3 antibody is un-conjugated

应用范围

  • 54
  • 24
  • 19
  • 14
  • 13
  • 12
  • 5
  • 4
  • 3
  • 2
  • 1
  • 1
ELISA, Immunohistochemistry (IHC)
  • 抗原表位

    • 15
    • 8
    • 8
    • 5
    • 4
    • 3
    • 3
    • 3
    • 2
    • 2
    • 1
    • 1
    • 1
    • 1
    • 1
    AA 201-500

    原理

    USP3 Antibody

    纯化方法

    Protein G purified

    纯度

    >95 %

    免疫原

    Recombinant Human Ubiquitin carboxyl-terminal hydrolase 3 protein (201-500AA)

    亚型

    IgG
  • 应用备注

    Optimal working dilution should be determined by the investigator.

    限制

    仅限研究用
  • 状态

    Liquid

    缓冲液

    Preservative: 0.03 % Proclin 300
    Constituents: 50 % Glycerol, 0.01M PBS, PH 7.4

    储存液

    ProClin

    注意事项

    This product contains ProClin: a POISONOUS AND HAZARDOUS SUBSTANCE which should be handled by trained staff only.

    储存条件

    -20 °C,-80 °C

    储存方法

    Upon receipt, store at -20°C or -80°C. Avoid repeated freeze.
  • 抗原

    USP3 (Ubiquitin Specific Peptidase 3 (USP3))

    别名

    USP3

    背景

    Background: Hydrolase that deubiquitinates monoubiquitinated target proteins such as histone H2A and H2B. Required for proper progression through S phase and subsequent mitotic entry. May regulate the DNA damage response (DDR) checkpoint through deubiquitination of H2A at DNA damage sites. Associates with the chromatin.

    Aliases: Deubiquitinating enzyme 3 antibody, EC 3.1.2.15 antibody, SIH003 antibody, Ubiquitin carboxyl-terminal hydrolase 3 antibody, Ubiquitin specific peptidase 3 antibody, Ubiquitin specific processing protease 3 antibody, Ubiquitin Specific Protease 3 antibody, Ubiquitin thioesterase 3 antibody, Ubiquitin thiolesterase 3 antibody, Ubiquitin-specific-processing protease 3 antibody, UBP antibody, UBP3_HUMAN antibody, Usp3 antibody

    UniProt

    Q9Y6I4
You are here: