电话:
+86 (0512) 65829739
传真:
+86 (010) 6788 5057
电子邮件:
orders@antibodies-online.cn

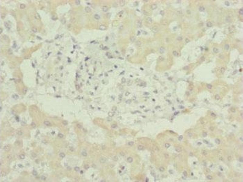
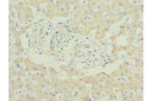
MNF1 抗体 (AA 14-126)

The 兔 多克隆 anti-MNF1 antibody is suitable to detect MNF1 in samples from 人. It has been validated for IHC, WB 和 ELISA.
产品编号 ABIN7174236
发货至: 中国
Contact our Customer Service for availability and price in your country. Contact Info

Our Local Distributor

中国
北京 101111
No. 88 KeChuang 6th Street
Beijing Economic Technological Development Area
Room 801-803
4A Biotech Co.,Ltd.
Tel +86 (0512) 65829739 传真 +86 (010) 6788 5057

Quick Overview for MNF1 抗体 (AA 14-126) (ABIN7174236)

抗原

See all MNF1 抗体
MNF1 (Mitochondrial Nucleoid Factor 1 (MNF1))

适用

  • 12
  • 11
  • 11

宿主

  • 12

克隆类型

  • 12
多克隆

标记

  • 5
  • 1
  • 1
  • 1
  • 1
  • 1
  • 1
  • 1
This MNF1 antibody is un-conjugated

应用范围

  • 4
  • 3
  • 1
  • 1
Immunohistochemistry (IHC), Western Blotting (WB), ELISA
  • 抗原表位

    • 1
    • 1
    AA 14-126

    原理

    UQCC2 Antibody

    纯化方法

    Antigen Affinity Purified

    免疫原

    Recombinant Human Ubiquinol-cytochrome-c reductase complex assembly factor 2 protein (14-126AA)

    亚型

    IgG
  • 应用备注

    Optimal working dilution should be determined by the investigator.

    限制

    仅限研究用
  • 状态

    Liquid

    缓冲液

    PBS with 0.02 % sodium azide, 50 % glycerol, pH 7.3.

    储存液

    Sodium azide

    注意事项

    This product contains Sodium azide: a POISONOUS AND HAZARDOUS SUBSTANCE which should be handled by trained staff only.

    储存条件

    -20 °C,-80 °C

    储存方法

    Upon receipt, store at -20°C or -80°C. Avoid repeated freeze.
  • 抗原

    MNF1 (Mitochondrial Nucleoid Factor 1 (MNF1))

    别名

    UQCC2

    背景

    Background: Required for the assembly of the ubiquinol-cytochrome c reductase complex (mitochondrial respiratory chain complex III or cytochrome b-c1 complex). Plays a role in the modulation of respiratory chain activities such as oxygen consumption and ATP production and via its modulation of the respiratory chain activity can regulate skeletal muscle differentiation and insulin secretion by pancreatic beta-cells. Involved in cytochrome b translation and/or stability.

    Aliases: UQCC2 antibody, C6orf125 antibody, MNF1 antibody, Ubiquinol-cytochrome-c reductase complex assembly factor 2 antibody, Breast cancer-associated protein SGA-81M antibody, Mitochondrial nucleoid factor 1 antibody, Mitochondrial protein M19 antibody

    UniProt

    Q9BRT2
You are here: