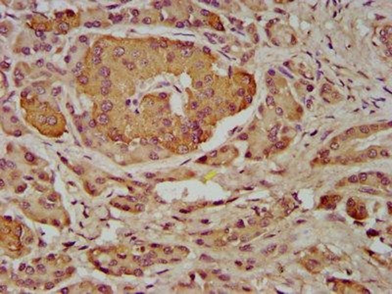
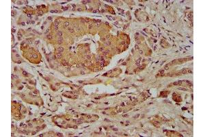
INPP5B 抗体 (AA 78-178)
Our Local Distributor
北京 101111
Quick Overview for INPP5B 抗体 (AA 78-178) (ABIN7173964)
抗原
See all INPP5B 抗体适用
宿主
克隆类型
标记
应用范围
-
-
抗原表位
- AA 78-178
-
原理
- INPP5B Antibody
-
纯化方法
- Protein G purified
-
纯度
- >95 %
-
免疫原
- Recombinant Human Type II inositol 1,4,5-trisphosphate 5-phosphatase protein (78-178AA)
-
亚型
- IgG
-
-
-
-
应用备注
- Optimal working dilution should be determined by the investigator.
-
限制
- 仅限研究用
-
-
-
状态
- Liquid
-
缓冲液
-
Preservative: 0.03 % Proclin 300
Constituents: 50 % Glycerol, 0.01M PBS, pH 7.4 -
储存液
- ProClin
-
注意事项
- This product contains ProClin: a POISONOUS AND HAZARDOUS SUBSTANCE which should be handled by trained staff only.
-
储存条件
- -20 °C,-80 °C
-
储存方法
- Upon receipt, store at -20°C or -80°C. Avoid repeated freeze.
-
-
- INPP5B (Inositol Polyphosphate-5-Phosphatase, 75kDa (INPP5B))
-
别名
- INPP5B
-
背景
-
Background: Hydrolyzes phosphatidylinositol 4,5-bisphosphate (PtIns(4,5)P2) and the signaling molecule phosphatidylinositol 1,4,5-trisphosphate (PtIns(1,4,5)P3), and thereby modulates cellular signaling events.
Aliases: 4 antibody, 5-trisphosphate 5-phosphatase antibody, 5PTase antibody, 75 kDa inositol polyphosphate 5 phosphatase antibody, 75 kDa inositol polyphosphate-5-phosphatase antibody, 75 kDa antibody, EC 3.1.3.36 antibody, I5P2_HUMAN antibody, Inositol polyphosphate 5-phosphatase II antibody, Inositol polyphosphate-5-phosphatase B antibody, Inositol polyphosphate-5-phosphatase, 75 kDa antibody, INPP5B antibody, Inpp5b protein antibody, INPP5P antibody, MGC65156 antibody, MGC71303 antibody, OTTHUMP00000004726 antibody, OTTHUMP00000004727 antibody, OTTHUMP00000004728 antibody, Phosphoinositide 5 phosphatase antibody, Phosphoinositide 5-phosphatase antibody, Type II inositol 1,4,5 trisphosphate 5 phosphatase antibody, Type II inositol-1 antibody
-
UniProt
- P32019
抗原
-